십정동 치과 어금니 상실 후 CT 기반 정밀 진단 후 진행한 당일 즉시 임플란트 진행 과정 동암역 치과, 불편한 앞니 바로 신경치료할까요? 검사부터 치료까지 (치근단 염증 · PFM 크라운) 주안역 치과 치아 흔들림(동요도 3도) 발치 후 임플란트 진행 과정 부평 치과 치아 머리·목 부분에 진행된 충치, 신경치료 과정 및 장기적 파절 가능성 안내 십정동 치과 앞니에서 파절이 쉽게 일어나는 부위가 있다? 절단연 파절 후 레진 수복 과정 간석오거리역 치과 치수까지 침범한 충치, 발치 후 임플란트 진행 과정 (정기검진과 조기 치료의 중요성) 만수동 치과 80대 고령환자, 심한 충치 치아 발치 후 임플란트 수술 과정 (발치가 필요한 충치?) 백운역 치과 신경치료 후 앞니 치아가 파절되기 쉬운 이유가 무엇일까? 임플란트 수술 과정 주안동 치과 70대 고령 환자│뿌리까지 이어진 치아 파절의 원인과 임플란트 수술 과정 간석동 치과│치주염으로 인한 골 흡수와 치아 흔들림, 뼈 이식을 동반한 임플란트 치료 과정 부평 치과 심한 치아 통증 엑스레이에서 보이지 않는 치수염? 신경치료와 크라운 수복 과정 만수동 치과|성장기 치아 상실, 왜 성인이 되어 임플란트를 했을까요? (상악동 거상술 동반) 십정동 치과 상실된 치아가 불러오는 연쇄적 문제? 치조골 흡수와 기울어진 어금니, 뼈이식 동반 임플란트 과정 동암역 치과 : 균형 잡힌 저작이 중요한 이유, 전반적으로 손상된 치아 및 잇몸 임플란트를 통해 저작 기능 개선 간석역 치과 치주염으로 인한 치조골 흡수, 치아 파절 및 마모까지 임플란트 가상 시뮬레이션을 통한 안전한 수술 과정 1 2 Next Archives 2026년 4월 2026년 3월 2026년 2월 2026년 1월 2025년 12월 2025년 11월 Categories 미분류 신경치료 심미 치료 임플란트 BACK TO TOP
동암역 치과, 불편한 앞니 바로 신경치료할까요? 검사부터 치료까지 (치근단 염증 · PFM 크라운) 주안역 치과 치아 흔들림(동요도 3도) 발치 후 임플란트 진행 과정 부평 치과 치아 머리·목 부분에 진행된 충치, 신경치료 과정 및 장기적 파절 가능성 안내 십정동 치과 앞니에서 파절이 쉽게 일어나는 부위가 있다? 절단연 파절 후 레진 수복 과정 간석오거리역 치과 치수까지 침범한 충치, 발치 후 임플란트 진행 과정 (정기검진과 조기 치료의 중요성) 만수동 치과 80대 고령환자, 심한 충치 치아 발치 후 임플란트 수술 과정 (발치가 필요한 충치?) 백운역 치과 신경치료 후 앞니 치아가 파절되기 쉬운 이유가 무엇일까? 임플란트 수술 과정 주안동 치과 70대 고령 환자│뿌리까지 이어진 치아 파절의 원인과 임플란트 수술 과정 간석동 치과│치주염으로 인한 골 흡수와 치아 흔들림, 뼈 이식을 동반한 임플란트 치료 과정 부평 치과 심한 치아 통증 엑스레이에서 보이지 않는 치수염? 신경치료와 크라운 수복 과정 만수동 치과|성장기 치아 상실, 왜 성인이 되어 임플란트를 했을까요? (상악동 거상술 동반) 십정동 치과 상실된 치아가 불러오는 연쇄적 문제? 치조골 흡수와 기울어진 어금니, 뼈이식 동반 임플란트 과정 동암역 치과 : 균형 잡힌 저작이 중요한 이유, 전반적으로 손상된 치아 및 잇몸 임플란트를 통해 저작 기능 개선 간석역 치과 치주염으로 인한 치조골 흡수, 치아 파절 및 마모까지 임플란트 가상 시뮬레이션을 통한 안전한 수술 과정 1 2 Next Archives 2026년 4월 2026년 3월 2026년 2월 2026년 1월 2025년 12월 2025년 11월 Categories 미분류 신경치료 심미 치료 임플란트 BACK TO TOP
주안역 치과 치아 흔들림(동요도 3도) 발치 후 임플란트 진행 과정 부평 치과 치아 머리·목 부분에 진행된 충치, 신경치료 과정 및 장기적 파절 가능성 안내 십정동 치과 앞니에서 파절이 쉽게 일어나는 부위가 있다? 절단연 파절 후 레진 수복 과정 간석오거리역 치과 치수까지 침범한 충치, 발치 후 임플란트 진행 과정 (정기검진과 조기 치료의 중요성) 만수동 치과 80대 고령환자, 심한 충치 치아 발치 후 임플란트 수술 과정 (발치가 필요한 충치?) 백운역 치과 신경치료 후 앞니 치아가 파절되기 쉬운 이유가 무엇일까? 임플란트 수술 과정 주안동 치과 70대 고령 환자│뿌리까지 이어진 치아 파절의 원인과 임플란트 수술 과정 간석동 치과│치주염으로 인한 골 흡수와 치아 흔들림, 뼈 이식을 동반한 임플란트 치료 과정 부평 치과 심한 치아 통증 엑스레이에서 보이지 않는 치수염? 신경치료와 크라운 수복 과정 만수동 치과|성장기 치아 상실, 왜 성인이 되어 임플란트를 했을까요? (상악동 거상술 동반) 십정동 치과 상실된 치아가 불러오는 연쇄적 문제? 치조골 흡수와 기울어진 어금니, 뼈이식 동반 임플란트 과정 동암역 치과 : 균형 잡힌 저작이 중요한 이유, 전반적으로 손상된 치아 및 잇몸 임플란트를 통해 저작 기능 개선 간석역 치과 치주염으로 인한 치조골 흡수, 치아 파절 및 마모까지 임플란트 가상 시뮬레이션을 통한 안전한 수술 과정 1 2 Next Archives 2026년 4월 2026년 3월 2026년 2월 2026년 1월 2025년 12월 2025년 11월 Categories 미분류 신경치료 심미 치료 임플란트 BACK TO TOP
부평 치과 치아 머리·목 부분에 진행된 충치, 신경치료 과정 및 장기적 파절 가능성 안내 십정동 치과 앞니에서 파절이 쉽게 일어나는 부위가 있다? 절단연 파절 후 레진 수복 과정 간석오거리역 치과 치수까지 침범한 충치, 발치 후 임플란트 진행 과정 (정기검진과 조기 치료의 중요성) 만수동 치과 80대 고령환자, 심한 충치 치아 발치 후 임플란트 수술 과정 (발치가 필요한 충치?) 백운역 치과 신경치료 후 앞니 치아가 파절되기 쉬운 이유가 무엇일까? 임플란트 수술 과정 주안동 치과 70대 고령 환자│뿌리까지 이어진 치아 파절의 원인과 임플란트 수술 과정 간석동 치과│치주염으로 인한 골 흡수와 치아 흔들림, 뼈 이식을 동반한 임플란트 치료 과정 부평 치과 심한 치아 통증 엑스레이에서 보이지 않는 치수염? 신경치료와 크라운 수복 과정 만수동 치과|성장기 치아 상실, 왜 성인이 되어 임플란트를 했을까요? (상악동 거상술 동반) 십정동 치과 상실된 치아가 불러오는 연쇄적 문제? 치조골 흡수와 기울어진 어금니, 뼈이식 동반 임플란트 과정 동암역 치과 : 균형 잡힌 저작이 중요한 이유, 전반적으로 손상된 치아 및 잇몸 임플란트를 통해 저작 기능 개선 간석역 치과 치주염으로 인한 치조골 흡수, 치아 파절 및 마모까지 임플란트 가상 시뮬레이션을 통한 안전한 수술 과정 1 2 Next Archives 2026년 4월 2026년 3월 2026년 2월 2026년 1월 2025년 12월 2025년 11월 Categories 미분류 신경치료 심미 치료 임플란트 BACK TO TOP
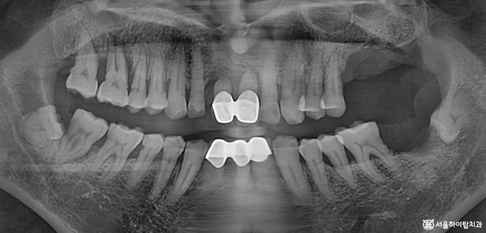
십정동 치과 앞니에서 파절이 쉽게 일어나는 부위가 있다? 절단연 파절 후 레진 수복 과정 간석오거리역 치과 치수까지 침범한 충치, 발치 후 임플란트 진행 과정 (정기검진과 조기 치료의 중요성) 만수동 치과 80대 고령환자, 심한 충치 치아 발치 후 임플란트 수술 과정 (발치가 필요한 충치?) 백운역 치과 신경치료 후 앞니 치아가 파절되기 쉬운 이유가 무엇일까? 임플란트 수술 과정 주안동 치과 70대 고령 환자│뿌리까지 이어진 치아 파절의 원인과 임플란트 수술 과정 간석동 치과│치주염으로 인한 골 흡수와 치아 흔들림, 뼈 이식을 동반한 임플란트 치료 과정 부평 치과 심한 치아 통증 엑스레이에서 보이지 않는 치수염? 신경치료와 크라운 수복 과정 만수동 치과|성장기 치아 상실, 왜 성인이 되어 임플란트를 했을까요? (상악동 거상술 동반) 십정동 치과 상실된 치아가 불러오는 연쇄적 문제? 치조골 흡수와 기울어진 어금니, 뼈이식 동반 임플란트 과정 동암역 치과 : 균형 잡힌 저작이 중요한 이유, 전반적으로 손상된 치아 및 잇몸 임플란트를 통해 저작 기능 개선 간석역 치과 치주염으로 인한 치조골 흡수, 치아 파절 및 마모까지 임플란트 가상 시뮬레이션을 통한 안전한 수술 과정 1 2 Next Archives 2026년 4월 2026년 3월 2026년 2월 2026년 1월 2025년 12월 2025년 11월 Categories 미분류 신경치료 심미 치료 임플란트 BACK TO TOP
간석오거리역 치과 치수까지 침범한 충치, 발치 후 임플란트 진행 과정 (정기검진과 조기 치료의 중요성) 만수동 치과 80대 고령환자, 심한 충치 치아 발치 후 임플란트 수술 과정 (발치가 필요한 충치?) 백운역 치과 신경치료 후 앞니 치아가 파절되기 쉬운 이유가 무엇일까? 임플란트 수술 과정 주안동 치과 70대 고령 환자│뿌리까지 이어진 치아 파절의 원인과 임플란트 수술 과정 간석동 치과│치주염으로 인한 골 흡수와 치아 흔들림, 뼈 이식을 동반한 임플란트 치료 과정 부평 치과 심한 치아 통증 엑스레이에서 보이지 않는 치수염? 신경치료와 크라운 수복 과정 만수동 치과|성장기 치아 상실, 왜 성인이 되어 임플란트를 했을까요? (상악동 거상술 동반) 십정동 치과 상실된 치아가 불러오는 연쇄적 문제? 치조골 흡수와 기울어진 어금니, 뼈이식 동반 임플란트 과정 동암역 치과 : 균형 잡힌 저작이 중요한 이유, 전반적으로 손상된 치아 및 잇몸 임플란트를 통해 저작 기능 개선 간석역 치과 치주염으로 인한 치조골 흡수, 치아 파절 및 마모까지 임플란트 가상 시뮬레이션을 통한 안전한 수술 과정 1 2 Next Archives 2026년 4월 2026년 3월 2026년 2월 2026년 1월 2025년 12월 2025년 11월 Categories 미분류 신경치료 심미 치료 임플란트 BACK TO TOP
만수동 치과 80대 고령환자, 심한 충치 치아 발치 후 임플란트 수술 과정 (발치가 필요한 충치?) 백운역 치과 신경치료 후 앞니 치아가 파절되기 쉬운 이유가 무엇일까? 임플란트 수술 과정 주안동 치과 70대 고령 환자│뿌리까지 이어진 치아 파절의 원인과 임플란트 수술 과정 간석동 치과│치주염으로 인한 골 흡수와 치아 흔들림, 뼈 이식을 동반한 임플란트 치료 과정 부평 치과 심한 치아 통증 엑스레이에서 보이지 않는 치수염? 신경치료와 크라운 수복 과정 만수동 치과|성장기 치아 상실, 왜 성인이 되어 임플란트를 했을까요? (상악동 거상술 동반) 십정동 치과 상실된 치아가 불러오는 연쇄적 문제? 치조골 흡수와 기울어진 어금니, 뼈이식 동반 임플란트 과정 동암역 치과 : 균형 잡힌 저작이 중요한 이유, 전반적으로 손상된 치아 및 잇몸 임플란트를 통해 저작 기능 개선 간석역 치과 치주염으로 인한 치조골 흡수, 치아 파절 및 마모까지 임플란트 가상 시뮬레이션을 통한 안전한 수술 과정 1 2 Next Archives 2026년 4월 2026년 3월 2026년 2월 2026년 1월 2025년 12월 2025년 11월 Categories 미분류 신경치료 심미 치료 임플란트 BACK TO TOP
백운역 치과 신경치료 후 앞니 치아가 파절되기 쉬운 이유가 무엇일까? 임플란트 수술 과정 주안동 치과 70대 고령 환자│뿌리까지 이어진 치아 파절의 원인과 임플란트 수술 과정 간석동 치과│치주염으로 인한 골 흡수와 치아 흔들림, 뼈 이식을 동반한 임플란트 치료 과정 부평 치과 심한 치아 통증 엑스레이에서 보이지 않는 치수염? 신경치료와 크라운 수복 과정 만수동 치과|성장기 치아 상실, 왜 성인이 되어 임플란트를 했을까요? (상악동 거상술 동반) 십정동 치과 상실된 치아가 불러오는 연쇄적 문제? 치조골 흡수와 기울어진 어금니, 뼈이식 동반 임플란트 과정 동암역 치과 : 균형 잡힌 저작이 중요한 이유, 전반적으로 손상된 치아 및 잇몸 임플란트를 통해 저작 기능 개선 간석역 치과 치주염으로 인한 치조골 흡수, 치아 파절 및 마모까지 임플란트 가상 시뮬레이션을 통한 안전한 수술 과정 1 2 Next Archives 2026년 4월 2026년 3월 2026년 2월 2026년 1월 2025년 12월 2025년 11월 Categories 미분류 신경치료 심미 치료 임플란트 BACK TO TOP
주안동 치과 70대 고령 환자│뿌리까지 이어진 치아 파절의 원인과 임플란트 수술 과정 간석동 치과│치주염으로 인한 골 흡수와 치아 흔들림, 뼈 이식을 동반한 임플란트 치료 과정 부평 치과 심한 치아 통증 엑스레이에서 보이지 않는 치수염? 신경치료와 크라운 수복 과정 만수동 치과|성장기 치아 상실, 왜 성인이 되어 임플란트를 했을까요? (상악동 거상술 동반) 십정동 치과 상실된 치아가 불러오는 연쇄적 문제? 치조골 흡수와 기울어진 어금니, 뼈이식 동반 임플란트 과정 동암역 치과 : 균형 잡힌 저작이 중요한 이유, 전반적으로 손상된 치아 및 잇몸 임플란트를 통해 저작 기능 개선 간석역 치과 치주염으로 인한 치조골 흡수, 치아 파절 및 마모까지 임플란트 가상 시뮬레이션을 통한 안전한 수술 과정 1 2 Next Archives 2026년 4월 2026년 3월 2026년 2월 2026년 1월 2025년 12월 2025년 11월 Categories 미분류 신경치료 심미 치료 임플란트 BACK TO TOP
간석동 치과│치주염으로 인한 골 흡수와 치아 흔들림, 뼈 이식을 동반한 임플란트 치료 과정 부평 치과 심한 치아 통증 엑스레이에서 보이지 않는 치수염? 신경치료와 크라운 수복 과정 만수동 치과|성장기 치아 상실, 왜 성인이 되어 임플란트를 했을까요? (상악동 거상술 동반) 십정동 치과 상실된 치아가 불러오는 연쇄적 문제? 치조골 흡수와 기울어진 어금니, 뼈이식 동반 임플란트 과정 동암역 치과 : 균형 잡힌 저작이 중요한 이유, 전반적으로 손상된 치아 및 잇몸 임플란트를 통해 저작 기능 개선 간석역 치과 치주염으로 인한 치조골 흡수, 치아 파절 및 마모까지 임플란트 가상 시뮬레이션을 통한 안전한 수술 과정 1 2 Next Archives 2026년 4월 2026년 3월 2026년 2월 2026년 1월 2025년 12월 2025년 11월 Categories 미분류 신경치료 심미 치료 임플란트
부평 치과 심한 치아 통증 엑스레이에서 보이지 않는 치수염? 신경치료와 크라운 수복 과정 만수동 치과|성장기 치아 상실, 왜 성인이 되어 임플란트를 했을까요? (상악동 거상술 동반) 십정동 치과 상실된 치아가 불러오는 연쇄적 문제? 치조골 흡수와 기울어진 어금니, 뼈이식 동반 임플란트 과정 동암역 치과 : 균형 잡힌 저작이 중요한 이유, 전반적으로 손상된 치아 및 잇몸 임플란트를 통해 저작 기능 개선 간석역 치과 치주염으로 인한 치조골 흡수, 치아 파절 및 마모까지 임플란트 가상 시뮬레이션을 통한 안전한 수술 과정 1 2 Next Archives 2026년 4월 2026년 3월 2026년 2월 2026년 1월 2025년 12월 2025년 11월 Categories 미분류 신경치료 심미 치료 임플란트
만수동 치과|성장기 치아 상실, 왜 성인이 되어 임플란트를 했을까요? (상악동 거상술 동반) 십정동 치과 상실된 치아가 불러오는 연쇄적 문제? 치조골 흡수와 기울어진 어금니, 뼈이식 동반 임플란트 과정 동암역 치과 : 균형 잡힌 저작이 중요한 이유, 전반적으로 손상된 치아 및 잇몸 임플란트를 통해 저작 기능 개선 간석역 치과 치주염으로 인한 치조골 흡수, 치아 파절 및 마모까지 임플란트 가상 시뮬레이션을 통한 안전한 수술 과정 1 2 Next Archives 2026년 4월 2026년 3월 2026년 2월 2026년 1월 2025년 12월 2025년 11월 Categories 미분류 신경치료 심미 치료 임플란트
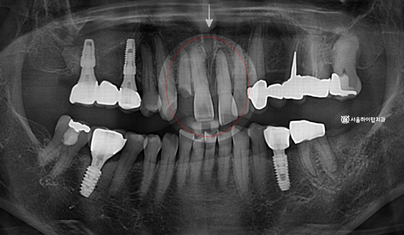
십정동 치과 상실된 치아가 불러오는 연쇄적 문제? 치조골 흡수와 기울어진 어금니, 뼈이식 동반 임플란트 과정 동암역 치과 : 균형 잡힌 저작이 중요한 이유, 전반적으로 손상된 치아 및 잇몸 임플란트를 통해 저작 기능 개선 간석역 치과 치주염으로 인한 치조골 흡수, 치아 파절 및 마모까지 임플란트 가상 시뮬레이션을 통한 안전한 수술 과정 1 2 Next Archives 2026년 4월 2026년 3월 2026년 2월 2026년 1월 2025년 12월 2025년 11월 Categories 미분류 신경치료 심미 치료 임플란트
동암역 치과 : 균형 잡힌 저작이 중요한 이유, 전반적으로 손상된 치아 및 잇몸 임플란트를 통해 저작 기능 개선 간석역 치과 치주염으로 인한 치조골 흡수, 치아 파절 및 마모까지 임플란트 가상 시뮬레이션을 통한 안전한 수술 과정 1 2 Next