십정동 치과 앞니에서 파절이 쉽게 일어나는 부위가 있다? 절단연 파절 후 레진 수복 과정

안녕하세요, 십정동 치과 윤홍기 원장입니다.

우리 치아 중 한가운데 위치한 앞니를
임상적으로는 중절치, 일상적으로는 대문니라고 부르기도 합니다.

앞니는 음식을 끊어 먹는 역할을 주로 담당하며,
어금니처럼 강한 저작 기능을 담당하는 치아는 아니기 때문에

일반적으로 외상과 같은 특별한 원인이 없는 한
파절이 흔하게 발생하는 치아는 아닙니다.

다만 앞니에는 절단면절단연이라는 구조가 존재합니다.

절단면은 치아의 끝부분에서 양쪽을 연결하는 평평한 면을 의미하고,
절단연은 치아 가장 끝, 날카로운 가장자리 부분을 말합니다.

앞서 말씀드렸듯 앞니는 어금니처럼 강한 저작을 담당하지 않기 때문에
큰 힘에 의해 파절되는 경우는 비교적 드문 편입니다.

하지만 절단연 부위는 음식을 끊어 먹는 역할을 담당하는 부분이기 때문에
작은 충격이나 반복적인 힘에도 생각보다 파절이나 미세한 균열이 발생하기 쉬운 부위이기도 합니다.

오늘은 이와 관련하여 십정동 치과 에서 준비한 예시 임상 자료를 통해
절단면 파절 후 레진 수복한 과정을 보여드리겠습니다.

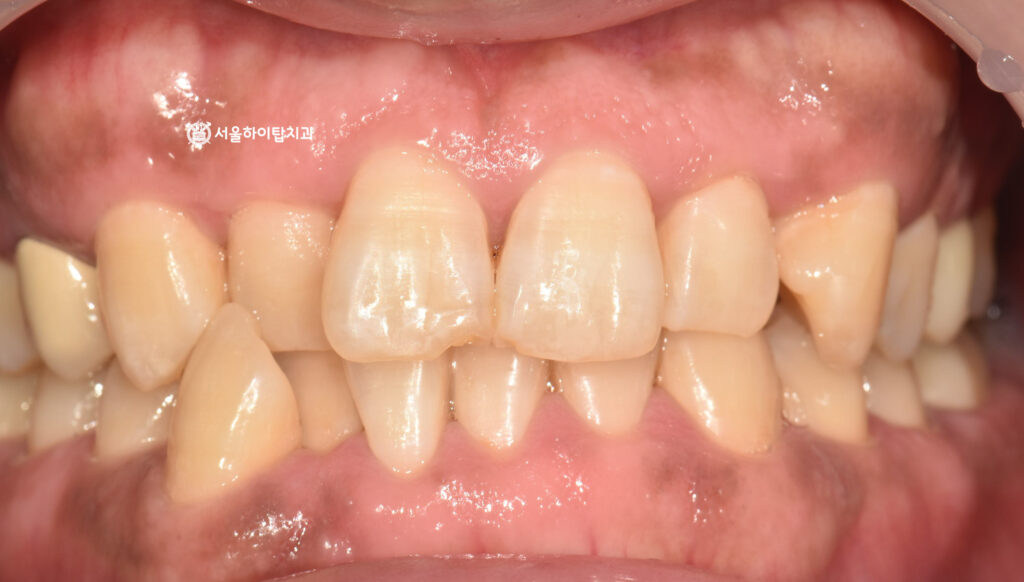
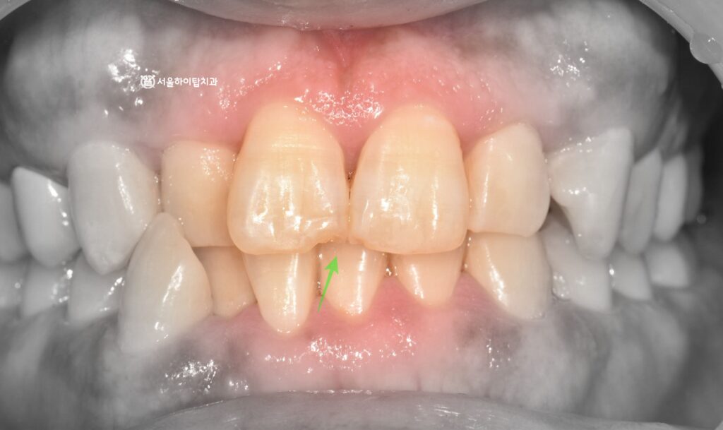
초진 – 파절된 절단연

26.02.06

십정동 치과 에서 준비한 구강 사진을 확인해 보면,
앞니에서 파절된 형태가 뚜렷하게 관찰됩니다.

특히 파절이 발생한 부위가 절단연 부위라는 점도
사진을 통해 비교적 쉽게 확인할 수 있습니다.

사실 미세한 파절의 경우 기능적으로 큰 불편이 없는 경우가 많고,
심미적으로도 입을 가릴 만큼 크게 눈에 띄지 않는 경우가 많아
생각보다 방치하시는 분들도 적지 않습니다.

다만, 파절이 생기는 과정에서 미세한 균열이 함께 생기고
그 균열이 눈에 보이지 않게 점점 깊이 진행될 수 있습니다.

https://blog.naver.com/htdent1/223766271417

즉, 십정동 치과 에서는 치아 내부로 균열이 진행될 가능성이 있기 때문에
정확한 구강 검진을 통해 상태를 확인하는 것이 중요
하다고 말씀드립니다.

부정교합이 앞니 파절에 미치는 영향과 치료 방향

26.02.06

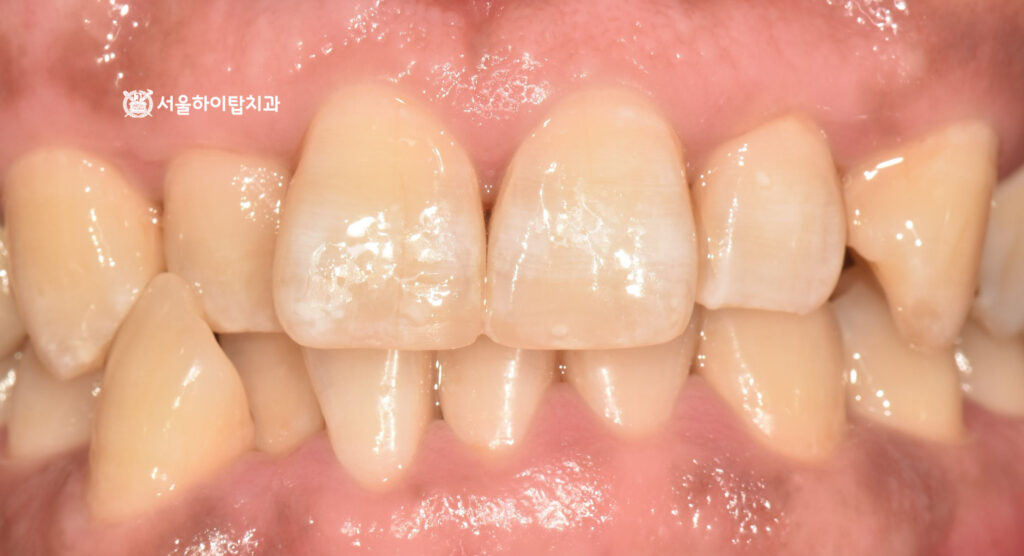
또한 구강 내 모습을 다시 한 번 살펴보면,
교정적인 관점에서 치아들이 고르게 배열되지 않은 총생 상태를 확인할 수 있으며
일부 앞니에서는 반대로 물리는 반대교합 양상도 함께 보입니다.

이처럼 치아 배열이 고르지 않거나 부정교합이 존재하는 경우,
교합 시 특정 치아에 비정상적인 힘이 집중될 수 있기 때문에
앞니 절단연 부위의 파절에 간접적인 원인이 될 수 있습니다.

다만 현재 파절은 절단면에 국한된 비교적 작은 범위의 손상으로
치아의 구조적인 손상이 크지 않은 상태입니다.

따라서 십정동 치과 에서는
레진 수복 치료를 통해 파절 부위의 형태를 회복하고
심미적인 개선을 도모할 수 있다고 설명해 드립니다.

절단연 레진 수복 진행 과정

먼저 파절된 절단연 부위를 정리한 뒤
레진 재료가 안정적으로 부착될 수 있도록 표면 처리를 진행합니다.

이후 치아의 형태와 색상을 고려하여 레진을 여러 층으로
정교하게 쌓아 올리며 자연스러운 앞니 형태를 만들어 줍니다.

26.02.06

마지막으로 교합을 확인하여 치아가 맞물리는 과정에서
과도한 힘이 집중되지 않도록 조정하고,
표면을 매끄럽게 연마하여 치료를 마무리하게 됩니다.

이러한 과정에서는,

  1. 자연스러운 형태 재현 (절단연 형태)
  2. 교합 확인 및 조정

이 매우 중요합니다.

미세한 라인이나 두께가 어색하면
치료 후 좌우 비대칭이 생길 수 있기 때문에
인접 치아와의 길이, 곡선, 좌우 균형을 고려해
자연스럽게 형태를 만들어야 됩니다.

또한 교합 시 힘이 과도하게 집중되지 않는지 확인하는 과정이 필요합니다.

교합 조정이 충분히 이루어지지 않으면
레진 파절, 수복 탈락 등이 발생할 수 있어
치료 후 안정성을 위해 중요한 과정입니다.

정리하며

앞니 절단연 파절은 작은 손상처럼 보일 수 있지만,
파절 과정에서 미세한 균열이 함께 발생하거나
교합력에 의해 손상이 점차 확대될 가능성도 있습니다.

이번 경우 파절 범위가 절단면에 국한된 비교적 작은 손상이었기 때문에
레진 수복 치료를 통해 파절된 부위의 형태를 회복하고
심미적인 개선을 도모할 수 있었습니다.

앞니 파절이 의심된다면 방치하기보다는
정확한 상태를 확인하고 적절한 치료를 받는 것이 중요합니다.

십정동 치과 윤홍기 원장이었습니다. 감사합니다.

2026.02.06

답글 남기기

Your email address will not be published. Required fields are marked *.

*
*
You may use these <abbr title="HyperText Markup Language">HTML</abbr> tags and attributes: <a href="" title=""> <abbr title=""> <acronym title=""> <b> <blockquote cite=""> <cite> <code> <del datetime=""> <em> <i> <q cite=""> <s> <strike> <strong>

Copyright © 2025 서울하이탑치과. All Right Reserved.
BACK TO TOP