간석오거리 치과 치주염 발치와 장기간 상실된 어금니 임플란트로 동시에 회복한 하악 케이스
안녕하세요,
간석오거리 치과 윤홍기 원장입니다.
치아를 발치해야 되는 가장
큰 이유 중 하나는 치조골 소실입니다.
치아를 지탱해주는 뼈인
치조골이 염증으로 녹아내리면,
겉보기엔 멀쩡해 보여도 결국
제 역할을 할 수 없게 됩니다.
이러한 치조골 소실은
치주염으로 인한 염증뿐만 아니라,
오랜 기간 상실된 부위에서도
서서히 진행될 수 있습니다.
오늘은 이와 관련한
내용을 소개해 드리겠습니다.
1. 초진 검진 및 진단


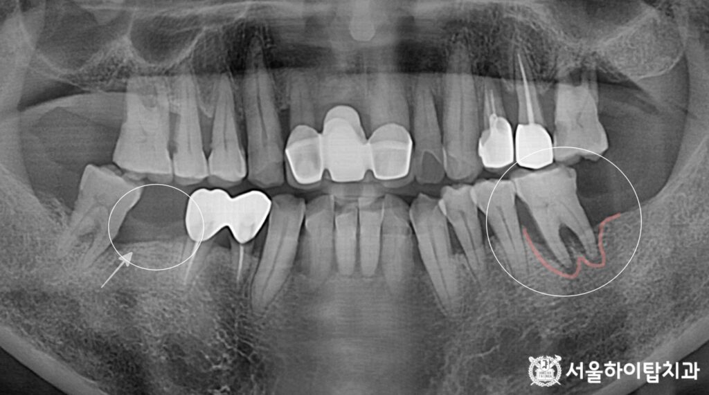
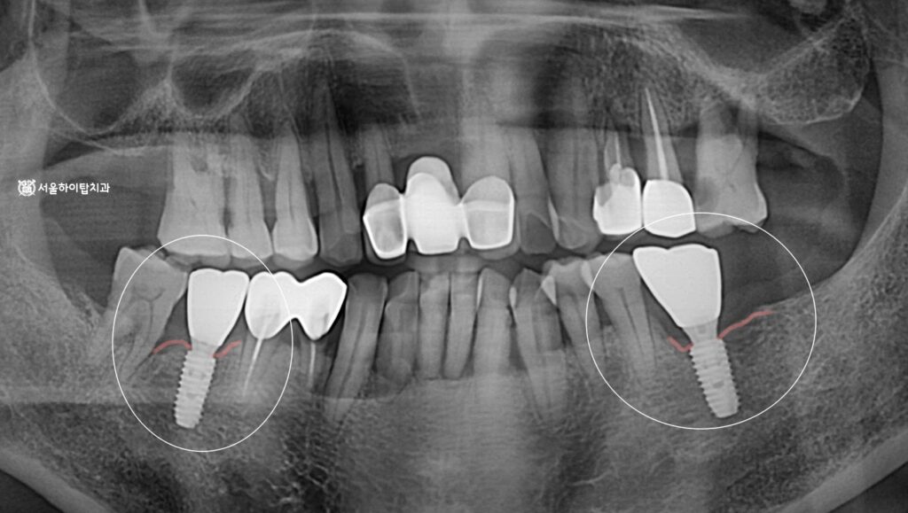
초진 파노라마 엑스레이를 확인해 보면,
앞서 간석오거리 치과 에서 말씀드린
문제들이 모두 확인됩니다.
사진 기준 왼쪽 부위는
오랜 기간 상실된 어금니,
반면 오른쪽 부위는 치주염으로 인해
치조골이 녹아내린 모습이 보입니다.
즉,
1) 장기간 방치된 무치악 부위,
2) 치주염으로 인한 골 소실 부위,
이 두가지 서로 다른 문제를
동시에 가지고 있는 것이죠.
이런 경우, 치아가 흔들리는
동요도(Mobility)가 심할 수밖에 없고,
치아가 단단히 지지되지 못하기 때문에
결국 발치가 불가피한 상황으로
이어질 수 있습니다.


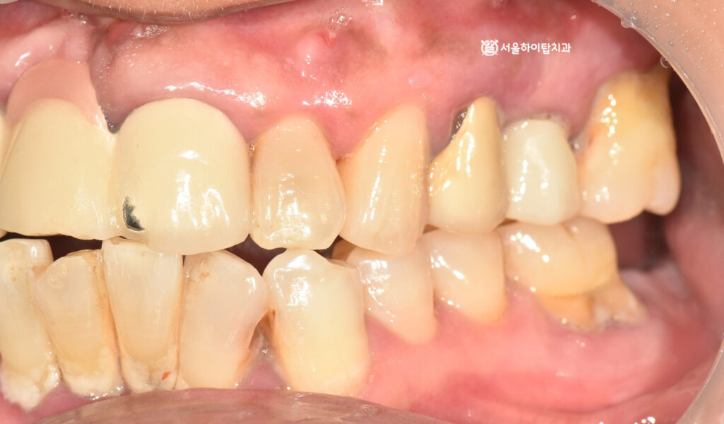
간석오거리 치과 에서
구강 내 사진을 보면,
곳곳에 심한 치석과 치태가
쌓여 있는 모습이 확인됩니다.
주변 잇몸도 붉게 변해 있는 것을 볼 수 있어,
전형적인 치주염의 소견으로 볼 수 있습니다.
2. 계획 수립

현재 심한 동요도와
장기간의 어금니 상실로 인해,
해당 부위는 발치 후 임플란트가
반드시 필요한 상황입니다.
따라서 정밀 CT 촬영으로
임플란트가 식립될 위치를 확인하고,
잔존 치조골의 높이, 밀도, 두께까지
면밀하게 분석합니다.
현재 금속 기둥(픽스처)이
가상으로 심겨진 모습을 보면,
하치조신경과의 거리도 확보되어 있고,
안전한 식립이 가능함을 확인할 수 있습니다.
또한, 왼편 상악에서는
하악의 장기간 상실로 인해
정출이 있을 수 있는 위치였지만,
양옆 치아가 남아 있어
교합을 일부 유지할 수 있었기 때문에
정출도가 심하지 않은 상태였습니다.
따라서, 양쪽 모두 식립에 특이사항이 없어
간석오거리 치과 에서는 당일 임플란트를
동시에 식립할 수 있을 것으로 판단됩니다.
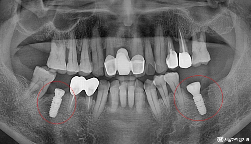
3. 수술 완료

시뮬레이션 데이터에 따라
정확한 위치에 안정하게
픽스처가 심겨진 모습입니다.
당일 식립이 이루어졌기 때문에,
한 번의 시술로 기능을 회복할 수 있고,
치유 기간도 단축되어
빠른 회복이 기대됩니다.
또한, 장기간 상실된 부위와
치주염으로 인해 손상된 뼈를
동시에 관리할 수 있어,
교합 안정과 심미적 회복도
동시에 도모할 수 있습니다.
이후 약 3개월 동안은 주변 뼈와 픽스처가
결합되는 골유착 과정을 거치게 됩니다.
4. 스캔바디 체결


골유착이 충분히 이루어졌다면,
스캔바디를 연결하여 구강 스캔을
진행할 수 있습니다.
간석오거리 치과 에서는 이를 통해
임플란트 위치와 잇몸 상태를
정확히 기록할 수 있으며,
수집된 데이터를 바탕으로
환자의 교합과 심미성을 고려한
최종 보철을 제작할 수 있습니다.
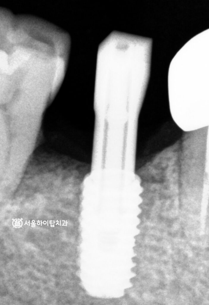
5. 최종 결과

인상 채득을 통해 맞춤형 보철인
지르코니아 크라운이 장착되며,
최종 진료가 마무리됩니다.
사진에서 보듯, 임플란트는 치조골에
안정적으로 자리 잡아 견고한
지지를 제공하며,
그 위에 장착된 크라운은
주변 치아와 조화롭게 맞물려
자연스러운 치열을 형성합니다.
6. 글을 마치면서
자연치와 임플란트를 오래 유지하려면,
정기검진과 구강 관리가 매우 중요합니다.
기존 치주염으로 인해 구강 위생 관리가 잘
이루어지지 않았음을 확인할 수 있었습니다.
따라서, 필요시 스케일링 등 전문 관리를
포함한 꾸준한 관리가 무엇보다 중요합니다.
따라서 최소한 6개월에 한 번씩은
검진을 받는 것을 권해드리면서,
오늘의 글 마치도록 하겠습니다.
간석오거리 치과 윤홍기였습니다.
감사합니다.


