주안동 치과 심한 치주염과 치아 정출, 하악 어금니 상실 임플란트로 저작 기능 회복
안녕하세요, 주안동 치과 윤홍기 원장입니다.
구강 내 자연치가 건강하더라도,
뼈의 지지가 충분하지 않다면
‘장기적 유지가 어려운 치아'(Hopeless Tooth)가
될 수밖에 없습니다.
즉, 자연치 자체가 건강해도 주변 골 구조가 약하면
결국 기능을 상실하게 된다는 의미입니다.
그렇다면, 이러한 골 소실의 원인은 무엇일까요?
제일 큰 원인은 ‘치주염'(Periodontitis)입니다.
Periodontitis은
잇몸(치은)과 뼈를 점차적으로 파괴하여
제대로 기능하지 못하게 만드는 질환입니다.
오늘은 이와 관련하여
주안동 치과 에서 준비한
예시 자료를 통해 더 자세히
소개해 드리겠습니다.
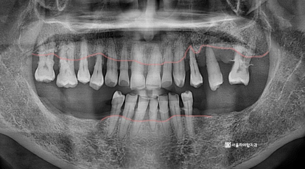
1. 초진

초진 파노라마 엑스레이입니다.
주안동 치과 에서는 전체적으로
뼈의 높이가 낮아진 것을
한눈에 확인할 수 있습니다.
특히 아래턱 양쪽 구치부는
이미 어금니가 모두 상실되었으며,
위턱은 사진 기준 오른쪽 구치부에
심한 염증이 관찰됩니다.
이로 인해 치아들이 마치 공중에 떠 있는 듯한
‘Floating Tooth’ 모습으로 나타나고 있습니다.
즉, 일부 자연치는
주변 뼈 지지가 거의 없기 때문에
장기적인 유지가 어려운 상태,
즉 Hopeless Tooth 임을 시사합니다.




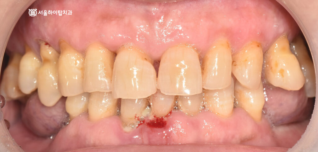
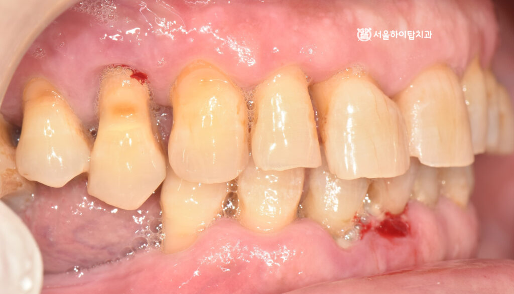
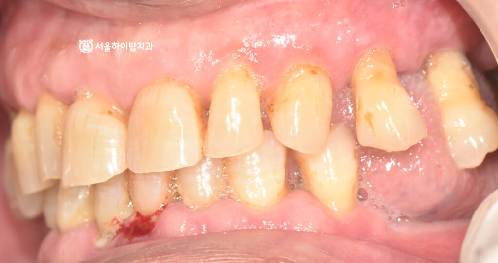
이어서 구강 내 모습을 살펴보면,
주안동 치과 에서는 곳곳에 치태와 플라그가
쌓여 있는 것을 확인할 수 있습니다.
특히 화살표로 표시된 교합면에서는
심한 마모가 관찰되는데,
이는 앞서 상실된 어금니 때문에
전치부(앞니)로 음식을 저작했을
가능성을 시사하는 소견입니다.
이처럼 비정상적인 저작 패턴은
마모를 가속화할 뿐만 아니라,
장기적으로 자연치 구조와
치은 건강에도 영향을 미칠 수 있습니다.



입을 다물었을 때 보는
측면, 정면 사진에서도
정출되어 치근이 보이는 모습과
출혈, 잇몸 부종, 전치부 마모 등
전형적인 심한 치주염의 양상을
보여주고 있습니다.
빠른 치료가 요구되는 상황입니다.
2. 계획 수립 및 정밀 CT 촬영
하악 어금니가 모두 상실된 경우,
임플란트 식립이 불가피합니다.
시술 시에는 교합 조정을 통해 최종 보철의
기능과 안정성을 확보할 수 있는지 평가하게 됩니다.
또한, 현재 제대로 저작이 어려워,
치유 기간 대략 한 달 후에는
반대편(치주염이 심하지 않은 쪽)을 기준으로
임시치아를 제작하여 최소한의 식사를
유지할 수 있도록 계획됩니다.


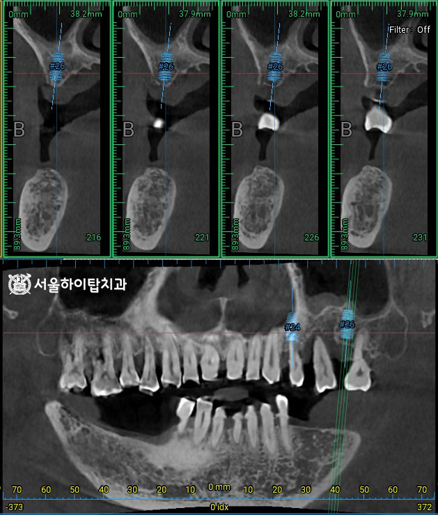
이와 함께, CT 촬영을 통해
픽스처가 식립될 위치를
사전에 시뮬레이션할 수 있습니다.
주안동 치과 에서는 이를 통해
잔존 치조골의 높이, 밀도, 두께,
해부학 구조물 등을 면밀히 분석하고,
시술 과정과 보철 설계를 정확하게
계획할 수 있다고 설명드립니다.


3. 수술 완료
위 시뮬레이션을 통해
예측된 위치에 식립된
모습입니다.

이제 앞서 수립한 계획에 따라,
먼저 임시치아를 제작하여 연결합니다.
약 한 달 정도가 지난 시점에는,
양쪽 하악 보철 제작을 위해
스캔바디를 체결하고
인상 채득을 진행하게 됩니다.


주안동 치과 에서는 이 과정을 통해
환자 맞춤형 보철을 제작하여 연결하게 되며,
위턱의 골 유착이 충분히 이루어진 후에는
동일한 방식으로 스캔바디를 이용하여
보철 제작이 진행된다고 설명드립니다.
4. 최종 결과

골 융합이 충분히 이루어졌으며,
지르코니아 크라운으로 제작되면서
기능과 심미 모두 만족스러운 결과를
얻은 것으로 보여집니다.
이제는 양쪽 구치부를 활용한
균등한 저작을 할 수 있으며,
앞으로는 꾸준한 구강 관리와 정기검진을 통해
임플란트 주변 조직 건강을 유지하는 것이 중요합니다.
주안동 치과 윤홍기였습니다. 감사합니다.


