부평 치과 앞니가 닳고 깨지는 이유? 치아 교모 원인부터 신경치료, 크라운 수복까지
안녕하세요, 부평 치과 윤홍기 원장입니다.
단단한 걸 씹지도 않았는데
앞니가 닳거나 깨졌다는 분들, 의외로 많습니다.
앞니는 구조적으로 어금니보다 훨씬 약하기 때문입니다.
그래서 이를 악무는 습관이나 앞니로 음식을 뜯는 행동,
수면 중 이갈이 같은 일상적인 움직임만으로도
앞니는 서서히 닳거나 미세한 금이 가기 쉬운 환경에 놓이게 됩니다.
이러한 상태를 방치할 경우
시림 증세나 모서리 파절, 자연치 형태 변화로 이어질 수 있으며
상황에 따라서는 신경치료나 보철 수복이 필요해지기도 합니다.
오늘은 이와 관련하여
부평 치과 에서 준비한 사진 자료를 통해
보다 자세히 설명드리겠습니다.
Panoramic X-ray – 파절이 의심되는 모습

먼저 엑스레이 사진을 통해 전반적인 구강 상태를 살펴보면,
현재 눈에 띄는 큰 이상 소견은 관찰되지 않습니다.
치아 배열이나 치조골 흡수, 충치·염증, 과거 치료 이력 등
일부 확인되는 요소들은 있으나 부평 치과 에서는
치료가 시급할 정도의 문제는 아닌 상태로 보입니다.
다만 술자의 관점에서 볼 때, 위턱(상악) 중앙 전치부에서
정상 치아 형태와는 다른 파절 소견이 확인됩니다.
이러한 변화는 엑스레이만으로는 한계가 있어,
구강 내 사진을 통해 실제 형태와 손상 범위를
보다 정확히 확인하는 과정이 필요합니다.

앞니 설면, 즉 혀 쪽에서 바라본 모습입니다.
해당 부위에서 파절과 마모 소견이 함께 관찰되며,
이 중에서도 국소적인 파절보다는 전반적인 마모가 더 뚜렷한 상태로 보입니다.
이와 같은 형태의 교모는 보통 교합력이
어금니가 아닌 앞니로 집중될 때 흔히 나타납니다.
다만, 앞서 엑스레이에서 어금니에는 큰 병적 소견이 관찰되지 않았기 때문에,
부평 치과 에서는 다음과 같은 두 가지 가능성을 중심으로 원인을 고려해 볼 수 있습니다.
- 이갈이, 이 악물기(브럭시즘) + 전치 접촉
이갈이 습관이 있더라도 정상적인 교합에서는
어금니가 먼저 접촉하여 힘을 분산시키게 됩니다.
하지만 앞니가 먼저 닿는 교합 구조라면,
수면 중 반복되는 마찰이 전치부에 집중되면서
특히 앞니 설면을 중심으로 한 수평 교모가 빠르게 진행될 수 있습니다. - 어금니 지지 부족의 ‘보상 작용’
겉보기에는 어금니가 멀쩡해 보이더라도,
교합 접촉이 약하거나 기능적인 지지가 충분하지 않은 경우에는
저작 시 앞니가 이를 보완하는 역할을 하게 됩니다.
이 과정이 반복되면 앞니에 과도한 하중이 가해지게 되고,
결과적으로 마모가 빠르게 진행되는 양상을 보일 수 있습니다.
계획 수립 – 신경치료 및 보철 수복
현재 교모의 정도가 매우 심하고,
치아 형태와 길이가 많이 소실된 상태입니다.
특히 마모가 깊게 진행되면서
치수와의 거리가 매우 가까워졌거나,
이미 외부 자극에 민감한 증상이 동반되는 양상을 보이기 때문에
추가적인 파절이나 교모가 발생하기 전에
신경치료와 보철 수복을 통해 장기적인 안정성을 도모하고,
전체 교합 밸런스를 재정립하는 치료가 필요할 것으로 판단됩니다.
또한 부평 치과 에서는 치관 길이가 짧은 경우
보철적 유지력을 확보하기 위해 치관 높이를 확보한 뒤
지르코니아 크라운 제작을 진행할 수 있다고 설명드립니다.
신경치료 과정


먼저 국소 마취 후,
‘파일'(file)이라는 가는 기구를 이용해
근관 내부의 신경 조직을 제거하고
감염된 조직과 오염물을 정리합니다.
그 다음 근관 내부를 세척액으로 충분히 세척(irrigation)하여
육안으로 확인하기 어려운 세균과 잔여 오염물을 제거합니다.
이 과정에서 근관의 길이와 형태에 맞춰
파일을 단계적으로 교체하며 근관 확대를 진행하고,
근관 충전에 적합한 형태로 내부 공간을 정리합니다.
부평 치과 에서 충분한 세척과 건조가 이루어진 후에는
근관 충전 재료인 ‘가타퍼차'(Gutta-percha)를 이용하여
내부를 빈틈없이 밀폐해 세균의 재침투를 차단한다고 설명드립니다.

앞선 과정이 모두 종료된 이후에는
치아 내부를 보강하기 위해 ‘코어 수복'(core build-up)을 시행합니다.
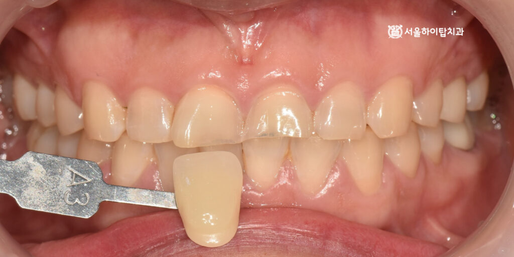
이후 쉐이드 테이킹을 통해 주변 자연치와 어우러지는 색상을 선택해 주고
최종 크라운이 올라갈 수 있게 형태를 알맞게 프렙(prep) 해주게 됩니다.

이후 치관 확장을 진행한 후
구강을 스캔하고 그 데이터를 바탕으로
환자 맞춤형 크라운을 제작 후 장착해 주면
모든 진료 과정은 종료됩니다.
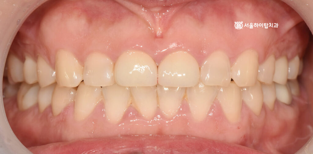
최종 결과

최종 사진을 통해 확인해 보면,
기존 자연치들 역시 평균치보다 치관 길이가 짧은 편이었기 때문에
이에 맞춰 크라운을 제작·장착하여 주변 치아와 자연스럽게
조화를 이루는 모습을 확인할 수 있습니다.
또한 기능적인 측면에서도 교합 접촉이 조절되면서,
전치부에 과도하게 가해지던 힘이 완화된 것으로 판단됩니다.
이를 통해 추가적인 교모나 파절 위험을 줄이고,
장기적으로 안정적인 교합 상태를 유지할 수 있는
기반을 마련한 것으로 볼 수 있습니다.
향후에는 3~6개월 간격의 정기검진을 통해
주변 자연치와 보철물의 상태를 점검하고,
장기적인 안정성을 유지하는 관리가 중요합니다.
부평 치과 윤홍기 원장이었습니다. 감사합니다.

