부평 치과 상실된 어금니와 잔존치근, 좁은 공간 최적화 임플란트로 기능과 심미성 개선
안녕하세요, 부평 치과 윤홍기 원장입니다.
구강 내 치아가 결손되면 그 주변에 있던 인접한 자연치들은
서서히 주변 빈 공간으로 이동하려는 움직임을 보이게 됩니다.
이러한 움직임은 단순히 위치 변동에서 끝나는 것이 아니라,
추후 임플란트 식립을 위해 필요한 공간 부족 문제를 가져오게 됩니다.
또한, 교합 관계가 불안정해질 수 있습니다.
위, 아랫니 간 맞물림이 바뀌면 씹는 힘이 한쪽으로 치우치거나,
특정 치아에 과도한 하중이 가해져 마모, 치주염, 파절로 이어질 수 있습니다.
더불어 결손된 부위는 방치되면 치조골 흡수도 진행되는데,
이는 임플란트 식립 시 골 폭과 높이 확보를 어렵게 만들어
수술 난도를 높이고 추가 골이식 필요성을 증가시킵니다.
오늘은 이와 관련하여 예시 자료를 통해
더 자세하게 설명해 드리겠습니다.
초진

초진 파노라마 엑스레이를 확인해 보면 한눈에 보더라도
상실되고 심하게 훼손된 자연치를 확인할 수 있습니다.
즉, 이는 앞서 부평 치과 에서 말씀드린 골 흡수, 인접치 이동 문제가 나타날 수 있는 소견으로,
실제로 위 사진을 보면, 골 흡수와 사랑니가 점점 기울어지는 모습을 관찰할 수 있습니다.
또한, 반대쪽 어금니는 치근만 남아있는 ‘잔존치근'(Root Rest) 상태로,
저작 활동이 제한되기 때문에 교합 관계가 불안정한 상태임을 알 수 있습니다.
현재 상황에서는 앞니로 저작이 집중될 수밖에 없고
이에 따라 심한 마모가 진행 중일 것으로 보입니다.


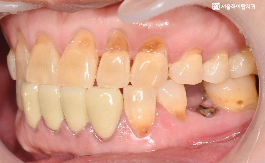
이어서 위에서 바라본 교합면을 살펴보면,
부평 치과 에서는 기존 보철치료가 완료된 아래턱 앞니를 제외하고,
위턱 앞니에서 진행 중인 마모를 뚜렷하게 확인할 수 있습니다.
또한, 뿌리만 남은 치아에서 충치가 진행 중임을 볼 수 있는데,
이는 잔존치근 상태에서 흔히 나타나는 소견입니다.
치관이 없어 청결 유지가 어렵고, 치근 부위에 세균이 쉽게 들어가
치근 우식, 염증, 주변 치조골 흡수를 유발할 수 있습니다.


정면에서 본 모습에서도 문제는 크게 달라지지 않습니다.
전반적으로 구강 내 잇몸 상태가 양호하지 않기 때문에,
균등한 저작 환경을 만들어 저작력 분산과 교합 안정을 확보하는 것이 필요합니다.
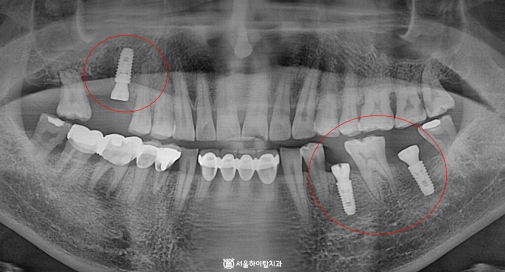
계획 수립 및 CBCT 촬영

먼저, 아래턱의 경우 뿌리만 남아 있는 치아들을 모두 빼내어
임플란트를 식립할 수 있는 환경을 조성하는 것이 첫 번째 단계입니다.
그다음으로 CT 촬영을 통해 식립에 알맞은 위치, 각도, 깊이를 확인하고,
동시에 하지조신경관 등 주변 해부학 구조물을 안전하게 확인하게 됩니다.
이 과정에서 필요시 골 이식 등 추가 처치 과정을 고려할 수 있습니다.
위턱도 동일한 방식으로 진행되지만,
기울어진 사랑니 때문에 공간이 다소 부족한 상태입니다.
부평 치과 에서는 두 개의 어금니 자리에 각각 식립하는 것이 이상적이라 말씀드리지만,
공간 제약으로 인해 1개만 식립하고, 추후 크라운을 크게 만들어주면
빈 공간을 최소화하고 저작과 심미를 동시에 회복할 수 있습니다.
수술 완료

정밀한 CT를 통해 나온 데이터에 따라 정확한 위치에 심긴 모습입니다.
이후, 치조골과 임플란트가 단단히 융합되는
약 2~3개월의 치유 기간을 거친 뒤,
최종 보철을 제작하여 장착하게 됩니다.
스캔바디 체결


골 유착이 충분히 진행된 시점에 스캔바디를 체결하여 최종 보철을 위한 정밀 스캔을 진행합니다.
부평 치과 에서는 이 과정을 통해 임플란트와 주변 자연치의
거리·각도, 치은 라인과 형태, 교합 공간 등 필요한 데이터를 확보하고,
이를 기반으로 맞춤형 크라운을 설계, 제작하게 된다고 설명해 드립니다.
최종 결과

최종 보철은 지르코니아 크라운으로 제작되어 기능과 심미가 모두 회복된 모습입니다.
무엇보다 균등한 저작 환경이 만들어지면서,
앞니에 집중되던 과도한 저작 부담이 분산되고
전체 교합 안정성이 크게 향상되었을 것으로 보입니다.
이를 통해 장기적으로 마모나 교합 문제를 예방할 수 있는
보다 건강한 구강 상태가 완성된 모습을 확인할 수 있습니다.
앞으로는 꾸준한 자가 관리와 정기검진을 통해 현재 상태를 유지하는 것이 중요하며,
특히 임플란트 주변의 잇몸과 치조골 상태, 전체 교합 변화를 점검하는 것이 필요합니다.
이러한 관리를 통해 기능, 심미 개선 상태가 오랫동안 유지될 것으로 기대됩니다.
부평 치과 윤홍기 원장이었습니다. 감사합니다.


