만수동 치과 골드 인레이 치아가 파절된 원인, 임플란트로 장기적 안정성 확보
안녕하세요, 만수동 치과 윤홍기 원장입니다.
자연치에 미세한 훼손이나 초기 우식이 발견된 경우,
남아 있는 치질을 최대한 보존하기 위해
골드 인레이를 선택하는 경우가 많습니다.
재료 특성상 연성(ductility)과 인성(toughness)이 우수하여
교합력에 매우 강하고 파절 위험이 낮으며,
치아와의 적합도가 뛰어나 장기적인 안정성이 높은 보철 재료로 평가됩니다.
그렇다면 이러한 골드 인레이조차 파절이 발생하는 원인은 무엇일까요?
골드 자체의 재료적 한계보다는
치아 구조적 요인, 교합력 분포, 접착부 열화 등
주변 환경적 요인이 복합적으로 작용하는 경우가 대부분입니다.
특히 치질이 충분히 남아 있지 않거나,
교합력이 특정 부위에 집중되는 상황에서는
골드의 내구성에도 불구하고 파절이나 탈락, 마모가 발생할 수 있습니다.
오늘은 이와 관련하여 준비한 예시 사진을 통해
더 자세한 설명을 해드리겠습니다.
일부 파절된 어금니

만수동 치과 에서 구강 내 상태를 살펴보면,
파절된 모습이 육안으로도 확인됩니다.
이러한 경우에는 반드시
‘치근단 방사선 사진'(Periapical radiograph)을 통해
파절이 치근(뿌리) 부위까지 연장되었는지 여부를
정밀하게 평가해야 됩니다.
특히 인레이는 겉으로는 보철 파손처럼 보일 수 있으나,
실제 보철 하방의 치질이 함께 손상되었거나
파절선이 치수강 또는 치근 방향으로 확장된 경우가 존재하기 때문에
정확한 영상 진단이 필수입니다.
만약 치근부까지 파절이 도달한 경우는
수복적 치료가 불가능한 치근 파절가능성을 시사하며,
이는 예후가 불량하여 발치가 불가피한 경우도 적지 않습니다.
만수동 치과 에서 이 경우에는
▪️치근 파절 범위
▪️골소실 양상
▪️주변 조직의 염증 여부
▪️환자의 전신 및 교합 상태
등을 종합적으로 평가하여 임플란트, 브릿지, 등
치료 계획을 재수립해야 된다고 설명해 드립니다.

이에 따라 만수동 치과 에서 치근단 방사선 사진을 확인해 보면,
파절선이 치근부까지 연장된 양상을 확인할 수 있습니다.
이러한 치근 파절은 보존적 치료로 복구가 어렵고,
시간이 지날수록 염증과 골흡수를 동반하기 때문에
기능적으로 안정적인 회복을 기대하기가 어렵습니다.
따라서 파절된 치아는 발치가 필요하며,
상실된 치아의 저작 기능을 다시 확보하기 위해서는
임플란트가 가장 예후가 좋은 대체 치료로 고려됩니다.
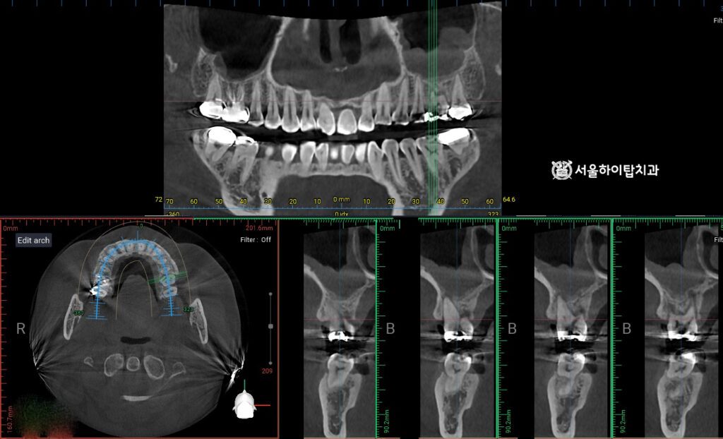
정밀한 CBCT 촬영

만수동 치과 에서는 임플란트가 선택이 되었다면
CT 촬영을 통해 임플란트가 심어질 적절한 위치와
필요한 골량을 먼저 확인하게 된다고 설명해 드립니다.
CT는 치조골의 높이와 두께, 신경과의 거리 등을 3차원으로 평가할 수 있어
안전한 식립을 위한 정확한 수술 계획 수립에 필수적인 과정입니다.
또한 파절로 인해 주변 골 소실이 동반된 경우에는
임플란트 고정에 필요한 골지지가 충분한지 함께 평가하며,
필요 시 골이식 여부나 식립 시점도 이 검사 결과에 따라 결정됩니다.
임플란트 식립 완료


만수동 치과 에서는 상기 시뮬레이션을 통해 계획된 위치에
임플란트가 안전하게 식립된 모습을 확인할 수 있습니다.
이후 약 3~4개월간 ‘골유착'(Osseointegration) 과정이 이루어지며,
이 기간 동안 임플란트 픽스처가 주변 치조골과
점차 단단하게 결합하게 됩니다.
특히 식립 4주 전후에는 엑스레이를 통해
픽스처가 위치 변화 없이 안정적으로 유지되고 있는지,
염증 소견은 없는지 등을 다시 한 번 확인하여
예후를 평가하게 됩니다.
최종 보철을 위한 스캔바디 체결

골유착이 충분히 이루어지면, 이제 스캔바디를 체결하여
임플란트의 정확한 위치와 각도 정보를 디지털로 채득하게 됩니다.
스캔바디는 최종 보철을 제작하기 위한 기준이 되는 장치로,
이를 통해 구강 스캐너가 픽스처의 3차원적 위치를 정밀하게 기록할 수 있습니다.
이데이터로 치아 모양, 교합 관계, 주변 치아와의 조화를 고려한
맞춤형 지르코니아 크라운 제작으로 이어지게 됩니다.
최종 결과

지르코니아는 강도와 심미성이 모두 우수하여
저작을 안정적으로 회복하는 데 적합한 재료입니다.
크라운 장착 후에는 교합을 정밀하게 확인하여
저작 시 과도한 힘이 특정 부위에 집중되지 않도록 조정하고,
잇몸과 보철의 적합 상태도 함께 평가합니다.
이러한 과정을 모두 마치면 치아의 기능과 형태가
자연스럽게 회복된 모습을 확인할 수 있습니다.
이후에는 정기검진을 통해 임플란트 주위 조직의 건강 상태와
보철물의 안정성을 주기적으로 체크하는 것이 중요합니다.
만수동 치과 윤홍기였습니다. 감사합니다.

