동암역 치과 : 균형 잡힌 저작이 중요한 이유, 전반적으로 손상된 치아 및 잇몸 임플란트를 통해 저작 기능 개선
안녕하세요, 동암역 치과 윤홍기 원장입니다.
우리의 자연치는 각각 맡고 있는 역할과 특성이 있습니다.
그중 어금니는 하루에도 수십, 수백 번 음식을 저작하기 때문에,
일상생활에 없어서는 안 되는 중요한 치아 중 하나입니다.
하지만 반대로 생각해 보면, 그만큼 쉽게 훼손되는 경우도 많습니다.
만약 어금니가 이미 훼손되어 저작에 불편이 생긴다면,
우리는 무의식적으로 한쪽만 사용하는 편측 저작이나
앞니로만 씹는 습관을 지니게 됩니다.
균형 잡힌 저작 환경이 이루어지지 않으면,
치아마다 맡고 있는 역할이 달라
본래 역할과 맞지 않는 저작이 발생하게 됩니다.
그 결과 특정 치아에 과도한 부담이 집중되고,
작은 문제라도 일상생활에 큰 영향을 줄 수 있습니다.
오늘은 이와 관련하여 동암역 치과 에서 준비한
예시 사진 자료를 통해 더 자세히 설명해 드리겠습니다.
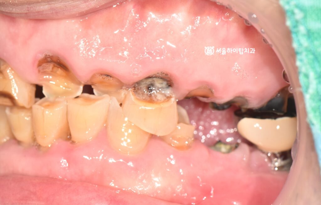
초진


구강 내 모습을 확인하면,
전반적으로 치아와 잇몸 상태가 매우 좋지 않은 것을 알 수 있습니다.
치아는 이미 다수 파절되거나 상실된 상태였으며,
잇몸 또한 전반적으로 붓고 퇴축이 진행된 모습입니다.

위에서 바라본 교합면 모습을 보면 그 심각성을 더 잘 확인할 수 있습니다.
심한 치아 마모부터 파절, 그리고 상실에 이르기까지
구강 전반에 걸쳐 문제가 나타나 있는 것을 확인할 수 있습니다.
즉, 앞서 서론에서 말씀드린
균형 잡힌 저작 환경이 이루어지지 않은 상태가 그대로 반영되어,
동암역 치과 에서 표시해 둔 일부 부위에서만 저작이 진행되어
과도한 부담이 집중되고 있음을 알 수 있습니다.

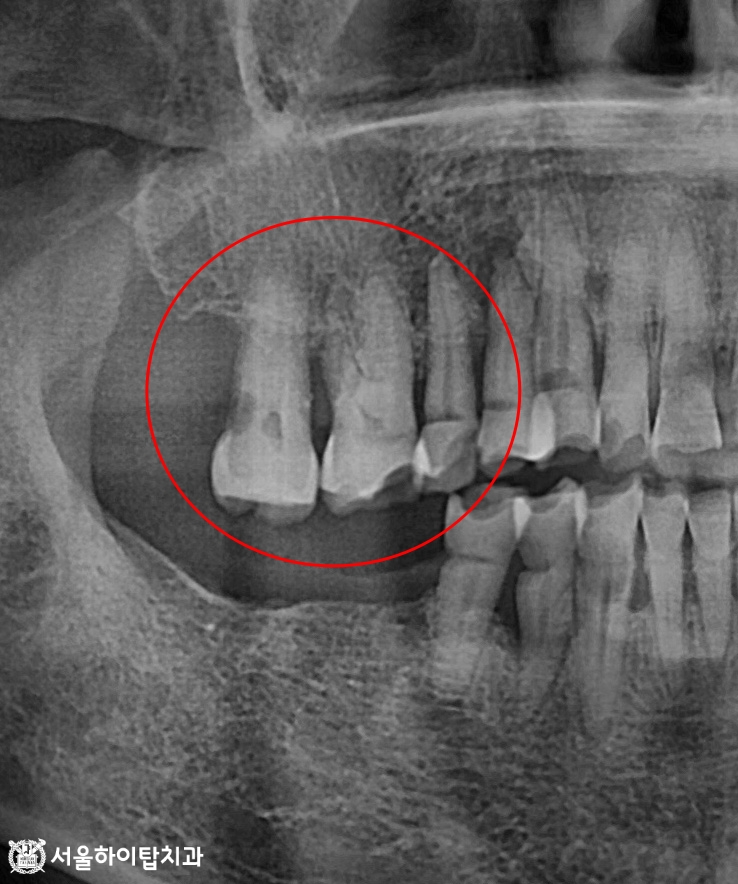
이에 따라 파노라마 엑스레이를 보면
저작이 이루어지는 치아 뿌리 끝에서
방사선 투과상으로 염증성 병소가 관찰됩니다.
여기에 더해, 전반적으로 치조골이 흡수되어
뼈의 높이가 낮아진 상태 또한 확인됩니다.
이러한 변화는 치아 동요도 증가와
통증을 유발할 가능성이 높으며,
장기적으로는 발치가 불가피한 상태임을 시사합니다.
즉, 동암역 치과 에서는 저작 불균형으로 특정 치아에 과도한 힘이 집중되면서,
단순한 마모를 넘어 치조골 손상과 염증까지 발생한 것으로 볼 수 있습니다.
계획

전반적인 치료가 필요한 상황이지만,
당장의 식사를 위해 저작 기능을 유지할 필요가 있습니다.
따라서, 현재 보존되어 있는 왼쪽 어금니 부위에
임플란트를 식립하는 것이 가장 적절한 치료 방향으로 판단됩니다.
다만, 오랜 기간 대합치가 부재하여 정출이 심한 상태이므로,
하나의 임플란트만 식립하는 계획으로 진행될 것으로 보이며,
추후, 전체적인 교합 환경과 저작 기능을 고려하여
추가적인 보철 치료 및 임플란트 보강이 진행될 것으로 보입니다.
CT 기반 임플란트 수술 가상 시뮬레이션

동암역 치과 에서는 임플란트 식립 전, 가상 시뮬레이션을 통해
임플란트가 심겨질 위치와 각도, 깊이를 정확히 계획할 수 있다고 설명해 드립니다.
이를 통해 구치부 골의 폭과 높이,
주변 해부학적 구조물과의 안전 거리 등을 사전에 확인할 수 있어,
수술 중 발생할 수 있는 위험을 최소화하고,
임플란트의 장기적 안정성과 저작 기능 회복을 동시에 확보할 수 있습니다.
현재 해부학적 구조물인 하치조 신경과의 거리도 충분하며,
남은 골량 또한 임플란트 식립을 진행하기에 적절한 상태로 확인됩니다.
이를 바탕으로, 구치부 임플란트는 안전하게 식립할 수 있으며,
향후 저작 기능 회복과 교합 안정화에 유리한 조건을 갖추고 있습니다.
수술 완료

수술이 완료되면, 임플란트와 뼈가 단단히 결합되는
골 유착(osseointegration) 기간을 거치게 됩니다.
이 과정에서 약 한 달 뒤 다시 한 번 엑스레이를 촬영하여,
픽스처의 위치 변동이나 초기 골 유착 상태를 확인하게 됩니다.
이를 통해 식립된 임플란트가 안정적으로 자리잡았는지 평가하고,
이후 최종 보철 제작을 위한 준비를 진행할 수 있습니다.
최종 결과

최종 완료된 모습을 살펴보면,
기존 염증이 발생한 치아는 발치가 이루어졌으며,
임플란트 또한 안정적으로 유지되고 있는 모습을 확인할 수 있습니다.
앞으로는 꾸준한 구강 관리와 정기 검진을 통해
임플란트 주위염 등의 합병증을 예방하는 것이 중요합니다.
일반적으로 3~6개월마다 한 번씩 검진을 받고,
올바른 저작 습관과 치주 건강을 유지함으로써,
임플란트의 장기적 안정성과 교합 기능을 지속적으로 확보할 수 있습니다.
무엇보다, 훼손된 주변 자연치들을 하루 빨리 치료하여,
임플란트와 자연치가 균형을 이루는 안정적인 교합 환경을
조성하는 것이 중요합니다.
이를 통해 특정 치아나 임플란트에
과도한 힘이 집중되는 것을 방지하고,
전체 저작 기능을 회복하며, 장기적으로 구강 건강과
심미성을 동시에 확보할 수 있습니다.
동암역 치과 윤홍기 원장이었습니다. 감사합니다.

