간석역 치과 치주염으로 인한 치조골 흡수, 치아 파절 및 마모까지 임플란트 가상 시뮬레이션을 통한 안전한 수술 과정
안녕하세요, 간석역 치과 윤홍기 원장입니다.
치아가 아무리 건강하더라도
이를 지지해 주는 치조골 상태가 좋지 않다면,
자연치를 오래 유지하기는 어렵습니다.
특히 치주염이 오래 진행되었다면 뼈가 서서히 녹아내리면서
치아가 흔들리거나, 통증 없이도 예후가 나빠지는 경우가 많습니다.
이런 상황에서는 무리하게 자연치를 살려두기보다, 발치를 통해 감염원을 제거하고
이후 치료를 계획하는 것이 오히려 더 안정적인 선택이 될 수 있습니다.
겉으로 보기에는 멀쩡해 보여 환자분들께서도 쉽게 납득하기 어려운 부분이지만,
임상적으로는 치조골 상태가 치료 방향을 결정짓는 중요한 기준이 됩니다.
무엇보다 이러한 상황을 예방하기 위해서는 정기검진과 스케일링이 필수입니다.
치주 질환은 초기에는 증상이 거의 없어 방치되기 쉬운 질환이기 때문에,
정기검진을 통해 뼈 상태를 확인하고 관리하는 것이 중요합니다.
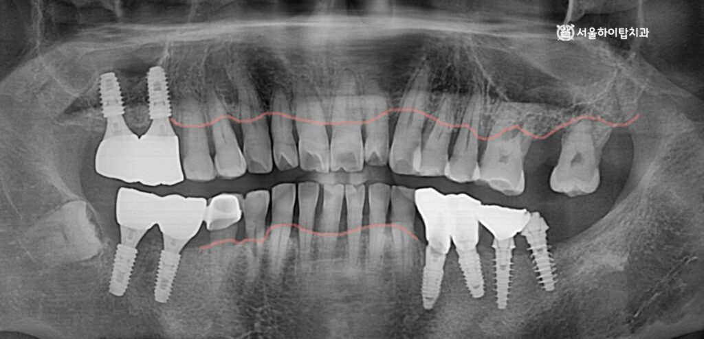
전반적으로 진행 중인 치주염과 치조골 흡수

간석역 치과 에서 임의로 표시해 둔 선을 보시면,
임플란트가 식립된 부위를 제외하고 전반적으로 치조골 흡수가 진행된 양상을 확인할 수 있습니다.
특히 어금니에만 임플란트가 식립된 모습을 볼 수 있는데,
이는 어금니가 씹는 힘을 가장 많이 받는 부위인 동시에
칫솔질이 어렵고 음식물이 잘 끼어
치주염이 가장 먼저, 그리고 가장 심하게 진행되기 쉬운 위치이기 때문입니다.
반면 앞니는 상대적으로 늦게까지 남아 있는 경우가 많아,
이처럼 어금니에만 식립된 소견이 임상에서 흔하게 관찰됩니다.
이러한 양상은 과거 또는 현재에
전반적인 치주염이 진행되었을 가능성을 시사하며,
현재 남아 있는 자연치 역시
지속적인 치주 관리와 정기적인 검진이 필요한 상태임을 의미합니다.

이제 간석역 치과 에서 문제가 되는 부위를 좀 더 자세히 살펴보겠습니다.
마찬가지로 임의로 표시해 둔 선을 기준으로 보면,
치조골이 대부분 소실되어 잇몸이 치아를 겨우 지탱하고 있는 상태임을 확인할 수 있습니다.
또한 방사선 사진에서도 확인될 정도로
교합면 마모가 심하게 진행되어 있으며,
치아의 mesial(근심면) 부위에는 파절 소견이 관찰됩니다.
이처럼 골 소실이 진행된 상태에서 마모와 파절까지 동반된 경우에는,
자연치를 보존하더라도 장기적인 안정성을 기대하기 매우 어렵습니다.
특히 잇몸뼈의 지지가 충분하지 않은 상태에서는
보존이나 보철 치료를 시행하더라도 재파절이나 염증 재발의 가능성이 높아,
발치를 통한 감염원 제거가 불가피한 상황으로 판단되는 경우가 많습니다.
따라서 무리하게 유지하기보다, 임플란트를 통해
저작 기능과 구조적 안정성을 회복하는 것이
예후가 좋은 치료 방향으로 보여집니다.
CT 기반 임플란트 식립 가상 시뮬레이션

CT를 기반으로 임플란트 뿌리(픽스처, Fixture)를 가상으로 식립해 보면,
간석역 치과 에서는 잔존 치조골의 양이 매우 부족해 임플란트가
해부학적 구조물인 상악동을 침범할 수밖에 없는 위치에 놓이게 됨을 확인할 수 있습니다.
즉, 임플란트를 지지해 줄 수 있는 뼈가 부족한 상태이기 때문에
상악동 거상술을 동반하여 상악동 바닥을 안전하게 들어 올린 뒤,
임플란트를 지지할 수 있는 공간을 확보하고
부족한 뼈를 보강하는 치료가 고려될 수 있습니다.
이러한 과정을 통해 임플란트가 식립될 수 있는
충분한 골량과 안정적인 환경을 먼저 조성하여
예후가 좋은 임플란트 치료를 진행할 수 있습니다.
임플란트 Fixture 식립 완료


가상 시뮬레이션을 바탕으로, 임플란트가 알맞은 위치에 안전하게 식립된 모습입니다.
이후 약 2~3개월간의 골 유착 기간을 거치며,
뼈와 픽스처가 단단하게 결합되는 과정을 거치게 됩니다.
이 과정 중 약 한 달 정도가 지난 시점에, 다시 한 번 엑스레이 촬영을 시행하여
픽스처의 위치와 안정성, 그리고 초기 골 유착 상태를 확인하게 됩니다.
이를 통해 임플란트가 안정적으로 유지되고 있는지를 점검한 뒤,
이상 소견이 없다면 이후 보철 치료 단계로 치료를 이어가게 됩니다.
보철 제작을 위한 스캔바디 체결

골 유착이 충분히 이루어졌다면, 이제 스캔바디를 체결하여
임플란트의 정확한 위치와 각도를 디지털 방식으로 기록하는 과정을 진행합니다.
스캔바디 체결 후에는 구강 스캐너를 이용해
보철 제작을 위한 인상 채득을 시행하게 되며,
이를 통해 임플란트와 주변 치아의 위치 관계를
정확하게 반영한 보철 계획을 수립할 수 있습니다.
최종 결과

보철까지 장착된 최종 모습을 확인해 보면,
지르코니아 크라운으로 제작 및 장착되면서
심미는 물론 기능까지 회복된 모습을 볼 수 있습니다.
무엇보다 치조골이 픽스처 상방까지 안정적으로 형성되면서,
임플란트를 충분히 지지해 줄 수 있는 환경이 마련되었고,
이를 통해 장기적인 예후 역시 긍정적으로 기대할 수 있는 상태입니다.
이제는 올바른 구강 관리와 꾸준한 정기검진을 통해,
남아 있는 자연치와 임플란트의 상태를 지속적으로 점검하고,
치주 질환이나 임플란트 주위염과 같은 문제를
사전에 예방하는 관리가 무엇보다 중요합니다.
치료는 식립으로 끝나는 것이 아니라,
이후의 관리가 치료의 완성도를 결정짓는 중요한 과정임을 꼭 기억하셔야 됩니다.
간석역 치과 윤홍기였습니다. 감사합니다.


