간석역 치과 상실된 어금니와 흔들리는 앞니 임플란트로 저작과 심미성 회복!
구강 내 발치 또는 상실로 인해
결손 공간이 존재할 경우,
최대한 빨리 알맞은 치료를
진행하는 것이 중요합니다.
방치된다면 빈자리로 남는 것이 아니라,
치조골 흡수, 치아 위치 변동 등의
문제가 나타나게 됩니다.
특히 어금니 부위는 한쪽만 사용하는
편측 또는 전치 중심의 저작 습관이
형성될 수 있으며,
턱관절에 부담이 가중되거나
인접치에 과도한 저작력이 전달되면서
이차 손상이 발생할 수 있습니다.
결국 단순한 빈자리가 아니라
전체 치열과 구강 기능에 연쇄적인
불균형을 일으키게 되는 것이죠.
오늘은 이와 관련하여
간석역 치과 에서 준비한
예시 자료를 통해 더 자세히
설명해 드리겠습니다.
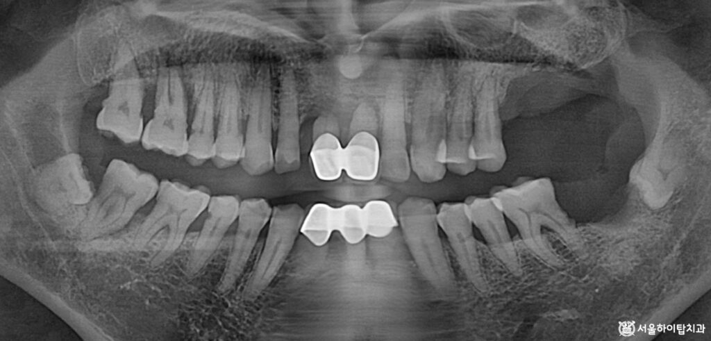
1. 초진



간석역 치과 에서는
한눈에 보더라도 상, 하악 어금니가
상실된 모습을 확인할 수 있습니다.
특히 위턱 부위의 치조골이
상당히 흡수된 모습이 관찰되며,
이는 장기간 기능을 하지 못한 치아
부위에서 흔히 나타나는 변화입니다.
이러한 구조적 변화는 결국
앞서 간석역 치과 에서 말씀드린 것처럼
편측 저작 습관이 생길 수밖에 없는
환경을 만들게 됩니다.
즉, 한쪽으로만 씹는 패턴이 고착되며
남아 있는 치아와 턱관절에 지속적인
부담을 줄 수 있는 상태입니다.

또한 앞니 부위를 다시 살펴보면
크라운이 수복되어 있는 모습을
확인할 수 있습니다.
그러나 치근 길이가 짧아진 상태이며,
주변 치조골의 소실 또한 관찰됩니다.
이런 경우 치아를 지지해 주는
구조가 약해지기 때문에,
간석역 치과 에서는
치아가 흔들리는 동요도(Mobility)가
상당히 높을 것으로 예상됩니다.
즉, 치주조직의 지지력이
크게 감소한 상태이므로
일상적인 저작력만으로도
흔들리거나 파절, 탈락 위험이
높은 상황이라 할 수 있습니다.

구강 내 임상 사진에서도
짧아진 치근과 치조골 소실로 인해
치근 일부가 외부로 노출된 양상을
확인할 수 있습니다.
더불어, 현재 전체적인 잇몸 건강도
양호하지 않은 상태이기 때문에
지속적인 자가 관리와 정기검진이
반드시 필요한 소견입니다.
2. 정밀한 3D-CT 검진

구치부는 어금니가 상실되어 있고,
앞니의 경우 치주 지지력이 부족해
동요도가 심한 상태이므로
임플란트가 필요한 상황입니다.
이에 따라 정밀 CT 촬영을 통해
임플란트가 식립될 위치와 각도를
사전에 시뮬레이션할 수 있습니다.
이 과정에서,
치조골의 폭과 높이,
해부학 구조(상악동, 신경 등)와의 거리,
임플란트 지지력 확보를 위한 골질 상태
등을 면밀히 확인할 수 있으며,
이를 기반으로 가장 안정적이고
예측 가능한 계획을 세우게 됩니다.
현재 위턱의 경우는
골 소실이 심하기 때문에
GBR, 즉 뼈 이식이 함께
병행될 것으로 보여집니다.

이어서 앞니의 경우에도
사전 시뮬레이션을 진행하여
알맞은 위치와 각도를 결정합니다.
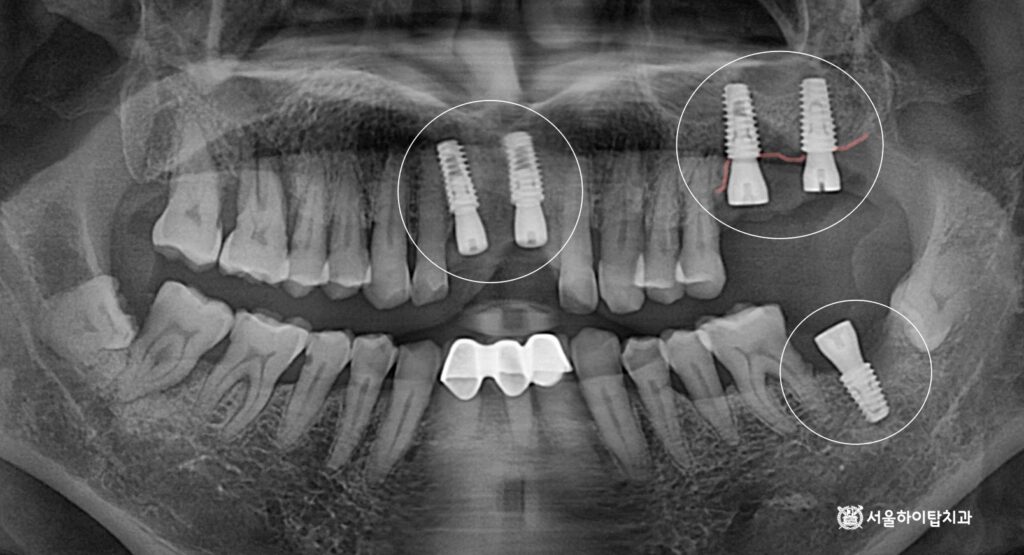
3. 수술 완료

상기 시뮬레이션을 기반으로
예측한 위치에 임플란트가
식립된 것을 확인할 수 있습니다.
특히 위턱의 경우
골 이식이 함께 이루어지면서,
임플란트가 골 내에서 안정적으로
자리 잡은 모습을 관찰할 수 있습니다.
이를 통해 수술 계획대로
심미, 기능 안정성이 확보된
상태임을 확인할 수 있습니다.
이후에는 치조골과 단단히 결합되는
골유착(osseointegration)을 거치게 됩니다.
간석역 치과 에서는 대략
4~6개월의 기간이 필요하다 말씀드리며,
환자의 골 상태나 초기 고정력에 따라
이 기간은 더 짧아질 수도 있습니다.
4. 임시 치아 제작

앞니는 위치 특성상 외부에
쉽게 드러나는 부위이므로
골 유착이 진행되는 동안
심미성을 유지할 수 있도록 미리
임시 치아를 제작하여 장착합니다.
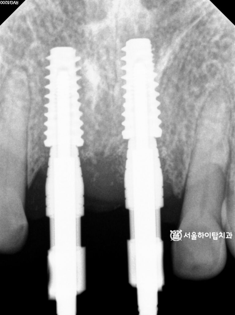
5. 바이트 코핑 체결



골 유착이 충분히 이루어진 후에는
바이트 코핑을 체결하여 실제
교합 상태를 정확히 기록합니다.
이 정보를 바탕으로
환자 맞춤형 보철을 제작하면,
저작 기능과 심미성을 모두 만족시키는
최종 보철을 만들 수 있습니다.
6. 최종 결과

인상채득을 통해 맞춤형 보철,
지르코니아 크라운이 제작되어
연결된 모습입니다.
이를 통해 저작 기능과 심미성이
한층 더 향상된 상태임을
확인할 수 있습니다.
무엇보다 이제 균등한 저작을 통해
치아와 보철에 가해지는 힘이
고르게 분산되어,
치아 구조의 안정성이 높아지며,
편측 저작도 개선됩니다.
앞으로는 꾸준한 자가 관리와
정기검진을 통해 작은 변화도
조기에 확인하고,
필요시 즉각적인 조치를 취하면
임플란트와 보철의 장기적 안정성을
확보할 수 있습니다.
간석역 치과 윤홍기였습니다. 감사합니다.

