만수동 치과 앞니 파절과 치조골 흡수로 인한 정출 임플란트로 기능과 심미 개선
안녕하세요, 만수동 치과 윤홍기 원장입니다.
앞니(전치부)는 나이가 들어감에 따라
치조골이 서서히 소실되고,
치아 사이가 벌어지거나 충치와
마모로 외형이 변하기 쉽습니다.
그 이유는 무엇일까요?
나이가 들면서 잇몸(치은)과
치조골의 재생 능력이 떨어지고,
뼈와 치은 조직이 약해지기 때문입니다.
이로 인해 지지력이 감소하고,
앞니가 벌어지거나 움직이게 됩니다.
또한, 오랜 사용으로 인한
마모와 충치가 겹치면서 형태와
색깔이 변하기 쉽습니다.
즉, 노화로 인한 구조적 변화와
치아 훼손이 복합적으로 작용해
외형이 달라지는 것입니다.
오늘은 이와 관련하여
만수동 치과 에서 준비한
예시 자료를 통해 조금 더
자세하게 소개해 드리겠습니다.
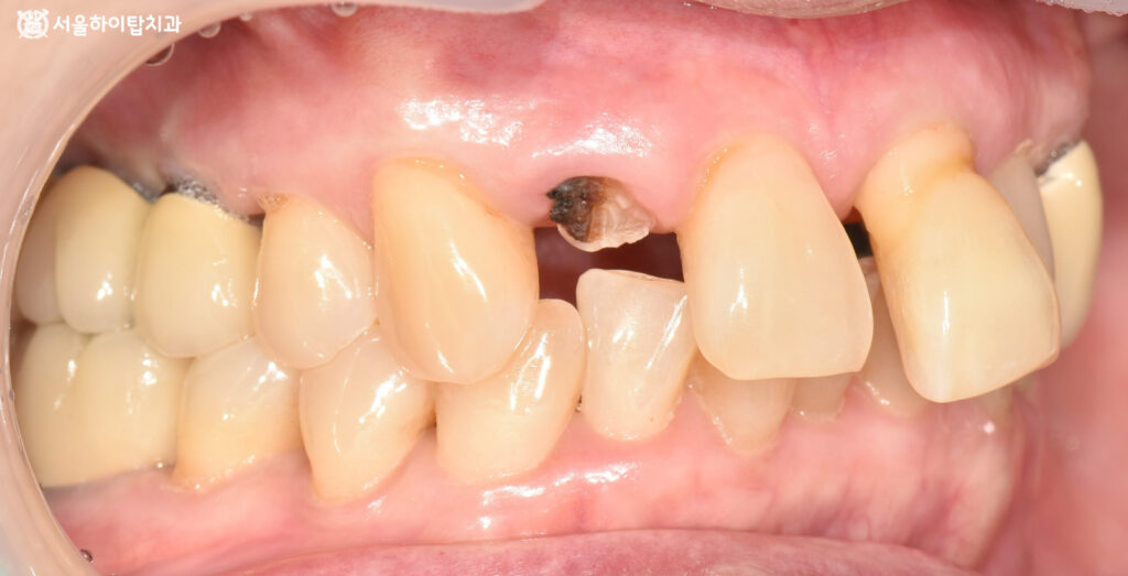
1. 초진

만수동 치과 에서 표시한 부분을 보면,
부러진 자연치와 일부 정출된
모습을 확인할 수 있습니다.
이러한 문제가 동시에 나타난 이유는,
충치로 인한 치질 약화와 골 소실이
함께 진행되었기 때문입니다.
충치로 인해 부러지면
남아 있는 치질의 강도가 떨어지고,
치조골이 흡수되면서 치아를 지탱하는
기초 구조도 약해집니다.
결국 이러한 변화가 겹치면
점차 정출되거나 사이가 벌어지는
현상이 나타나게 됩니다.
즉, 자연치 자체의 훼손과
주변 지지조직의 약화가
복합적으로 작용한 결과입니다.


이에 따라 구강 내 사진을 보면
충치로 인해 부러진 파절면이
뚜렷하게 관찰됩니다.
또한 뼈의 흡수로 인해
정출되고 앞니 사이가 벌어진
모습을 확인할 수 있습니다.
2. 정밀한 CT 모의 식립

현재는 치관이 완전히 파절된 상태이며,
치조골 소실이 동반되어 있습니다.
따라서 보존적 치료만으로는
장기 예후를 기대하기 어렵습니다.
이러한 경우에는 발치 후
골 재생 및 임플란트를 계획하는 것이
기능, 심미 회복 측면에서
합리적인 접근입니다.

이에 따라, 픽스처가 심어질 위치를
앞선 CT를 통해 사전에 확인하고,
잔존골의 높이, 밀도, 두께 등을
면밀하게 분석합니다.
3. 수술 완료

시뮬레이션에 따라
정확한 위치이 안전하게
픽스처각 심겨진 모습입니다.
사진을 보면 두 개의 픽스처만
식립된 것을 확인할 수 있는데,
이는 전치부에 해부학적 구조와
골 형태를 고려한 결과입니다.
치조골 폭이 좁고, 치은라인이
중요한 부위이기 때문에
불필요하게 많은 임플란트를 심기보다는
기능 안정성과 심미 조화를 동시에
확보할 수 있는 최소 개수를
선택하는 것이 원칙입니다.
만수동 치과 에서 남은 한 자리는
폰틱(가짜치아)으로
대체될 것으로 보입니다.
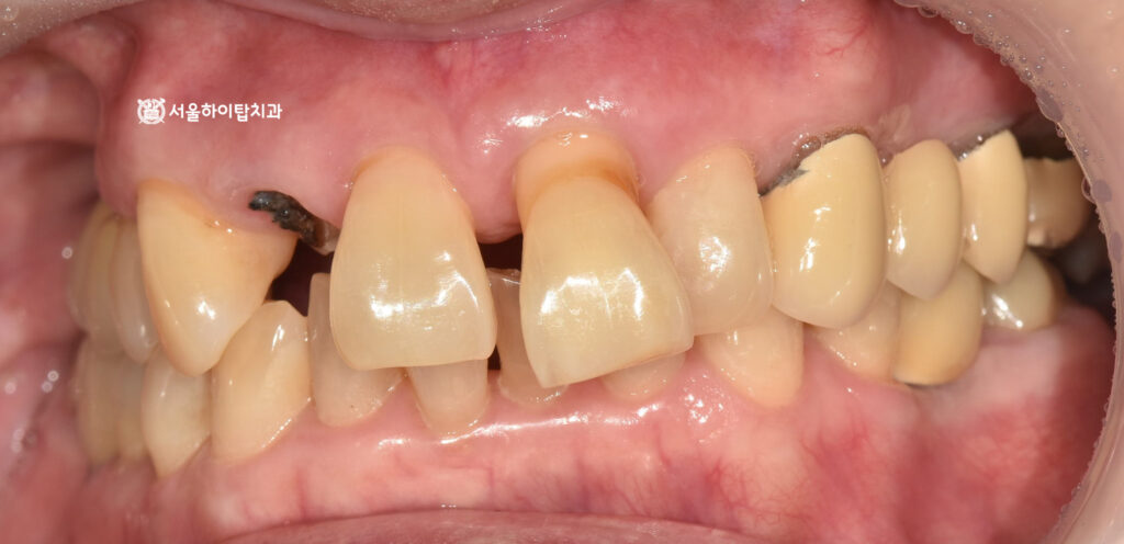
4.임시 치아(Flipper)

이후에는 뼈와 픽스처가 단단히
결합되는 골유착 기간을 거칩니다.
이 과정은 임플란트의 안정성과
장기적인 예후를 결정짓는
중요한 단계입니다.
특히 해당 부위가 전치부이기 때문에,
치유 기간 동안 심미 공백이 생기지 않도록
Flipper를 제작해 미리 연결해 주게 되며,
이를 통해 실생활 중에도
자연스러운 외형과 발음을 유지할 수 있으며,
이후에는 최종 보철로 교체하게 됩니다.
5. 스캔바디 체결

충분한 골유착이 이루어진 뒤에는
임플란트 위에 스캔바디를 장착하고
보철을 제작하기 위한 캔을 진행합니다.
이 과정에서 Implant의 위치와 각도,
주변 치아와 치은의 형태, 교합 공간 등을
정확히 측정하여 데이터를 확보합니다.
이 정보를 토대로 환자 개개인의
구강 구조에 딱 맞는 맞춤형 크라운을
디지털 방식으로 설계하고 제작하게 됩니다.
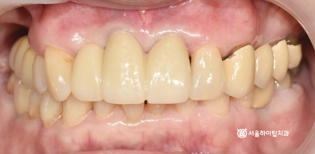
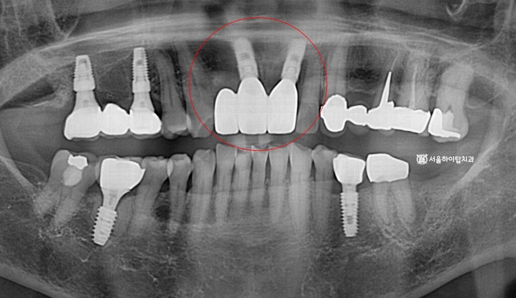
6. 최종 결과
만수동 치과 에서최종 완성된
모습을 준비한 자료를 통해
보여드리겠습니다.


정밀한 인상 채득 과정을 거쳐
맞춤형 지르코니아 크라운이
장착된 모습입니다.
장착 후에는 교합 관계와
치은 라인을 세밀하게 확인하여,
심미성과 기능이 모두 조화롭게
회복된 것을 확인할 수 있습니다.
특히 앞니 부위는 발음과 표정,
심미적 균형이 중요한 부위이므로,
최종 크라운이 주변 자연치와
자연스럽게 조화를 이루는지 세심하게
체크하는 과정이 필요합니다.
7. 끝맺음
임플란트는 자연치와 거의 유사한
심미성과 기능을 제공하지만,
꾸준한 관리와 정기검진 없이는
염증이나 임플란트 주위염 등의
문제가 나나탈 수 있습니다.
따라서 3~6개월에 한 번은
꼭 정기검진과 철저한
구강 위생 관리가 중요합니다.
만수동 치과 윤홍기였습니다. 감사합니다.


