동암 치과 어금니 뿌리까지 이어진 파절과 치수염, 신경치료 및 임플란트
안녕하세요 동암 치과 윤홍기 원장입니다.
겉으로는 큰 문제가 없어 보여도,
심한 통증이 느껴진다면 자연치 내부에
다음과 같은 문제가 생겼을 가능성을
의심해 볼 수 있습니다.
1) 뿌리까지 이어진 파절
2) 치수염 (pulpitis)
자연치 안쪽에는
치수(신경과 혈관)가 있기 때문에,
신경이 자극되면서 통증이 발생합니다.
또한, 자연치를 단단히 잡아주는
뿌리 주변 치주인대(PDL)가 힘을 받으면
염증이 생기거나 압박되어 통증이 더욱
심해지게 되고,
이에 따라 지지력도 약해지면서
치아가 미세하게 흔들리며
주변 조직을 자극하기도 합니다.
이러한 문제는 특히 어금니처럼
저작력이 큰 부위에서는 통증이
더 심하게 나타날 수 있습니다.
오늘 동암 치과 에서는
이와 관련한 내용을 조금 더
자세히 소개해 드리겠습니다.
1. 초진

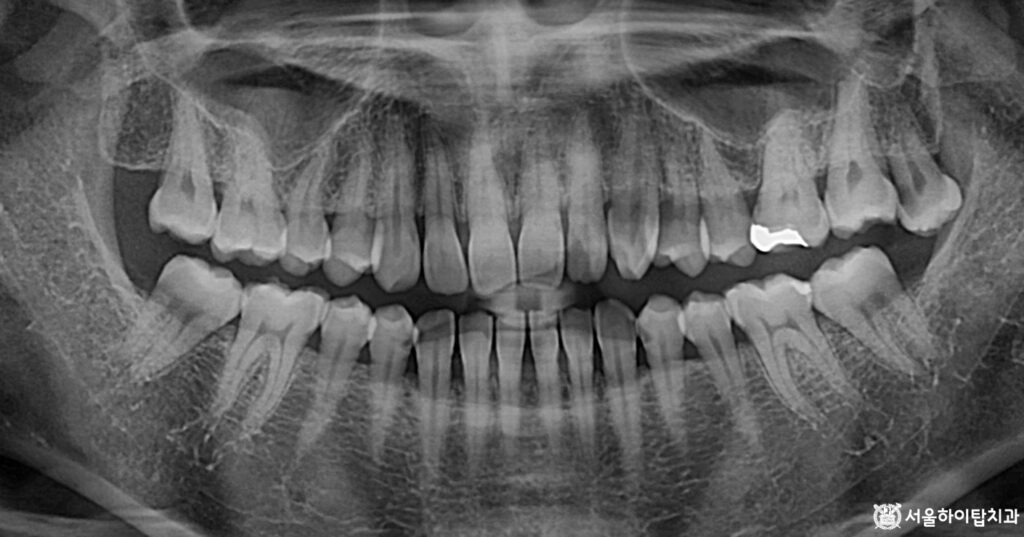
초진 파노라마 엑스레이입니다.
처음 보았을 때는 어디에 문제가 있는지
한눈에 파악하기 어렵습니다.
특히, 뿌리 부위의 파절이나 내부 염증은
엑스레이 상에서도 경계가 불분명하게
나타나는 경우가 많습니다.
즉, 엑스레이로도 판단이 쉽지 않다면,
실제 육안으로 더욱 어렵다고 할 수 있습니다.
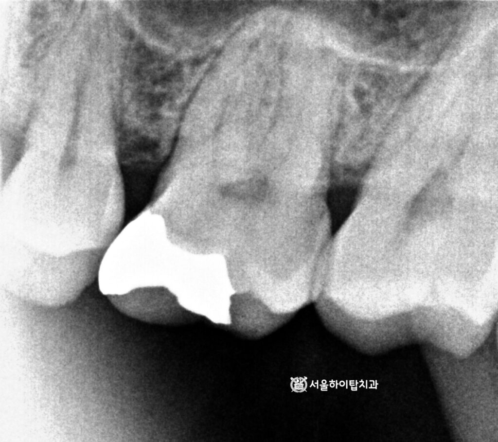
따라서 이런 경우에는 Periapical radiograph,
즉 뿌리 끝까지 정밀하게 확인할 수 있는
국소 엑스레이를 추가로 촬영하여
진단하게 됩니다.
임상에서는 이를 ‘PA 촬영’
이라고 부르기도 합니다.

먼저 사진 기준 오른쪽
어금니부터 살펴보겠습니다.
사실 pulpitis은 엑스레이나 PA만으로는
명확히 보이지 않는 경우가 대부분입니다.
동암 치과 에서 그 이유 설명드리자면,
염증이 신경 내부에서 진행되더라도
방사선 사진에는 뚜렷한 변화가
늦게 나타나기 때문입니다.
따라서 뿌리 끝까지 염증이 퍼졌는지,
또는 파절이 동반되었는지를 확인하기 위해|
PA와 환자의 주관적인 증상 평가가 중요합니다.
임상에서는 다음과 같은 방법으로 진단합니다.
🔸냉온 자극 검사
얼음 조각이나
에틸클로라이드(Ethyl chloride)를
치아에 닿게 하여 냉, 온 자극에 대한
반응을 관찰합니다.
🔸타진 검사
기구 손잡이나 손가락으로 치아를
수직 또는 수평 방향으로 가볍게 두드려
통증 반응을 확인합니다.
🔸전기 검사 (EPT)
약한 전기 자극을 치아에 전달해
신경이 반응하는지를 확인합니다.
동암 치과 에서는 다행히 PA로
파절이나 치근단 염증은 보이질 않지만,
이미 저작 시 통증이 느껴지는 상태였기에
치수염이 진행 중임을 알 수 있습니다.

이어서 반대편으로 넘어가면,
치관부 중앙에서 치근단까지 이어지는
명확한 파절선(fracture line)이 관찰됩니다.
이는 단순 균열을 넘어
치근 파절(root fracture) 로
진행된 상태로 볼 수 있습니다.
현재 양쪽 모두에서
문제가 발생한 상황이므로,
정밀한 진단과 치료 계획 수립을 위해
CT 촬영이 필요합니다.
2. 정밀한 CT 검진
앞서 동암 치과 에서 말씀드린 것처럼,
염증은 다행히 현재 치근 끝까지
진행되지 않은 상태입니다.
따라서 신경치료를 통해, 향후 염증이
더 넓은 범위로 퍼지는 것을 사전에
예방할 수 있습니다.
내부의 감염된 치수를 완전히 제거한 후,
전용 충전재로 뿌리 끝까지 채워주기 때문에
치근단까지 확산되는 것을 방지할 수 있습니다.

다만 뿌리까지 이어진 fracture line은
그 상태로 오래 유지되기 어렵습니다.
그 이유는, 씹는 힘 등
저작력이 지속적으로 가해지면서
치근이 미세하게 흔들리기 때문입니다.
또한 내부 치수가 염증을 일으키면
주변 치주조직과 치근단에 압박과 자극이 생겨
파절선이 점차 확장되거나 치아 구조가 약해져
더 이상 안정적으로 유지되지 않습니다.
즉, 동암 치과 에서 쉽게 말씀드리자면,
장기적인 안정성이 부족한 상태인 셈입니다.
따라서, 이런 경우에는 위 사진과 같이
CT 촬영을 통해 치아 및 주변 구조를
정밀하게 관찰한 후,
임플란트가 식립될 위치,
뼈의 높이와 두께, 상악동과의 거리 등을
파악하는 것이 매우 중요합니다.
3. 수술 완료

먼저, pulpitis을 제거하기 위해
계획된 신경치료가 선행되며,
그 이후에는, 앞서 시뮬레이션을 통해 확인한
안전한 위치에 임플란트 수술을 진행합니다.

위 사진을 보면, 안전한 위치에
심겨진 모습을 관찰할 수 있습니다.
이제 주변 뼈와 임플란트가 단단히 결합되는
골 유착(Osseointegration) 과정을 거치게 되며,
대략 3~4개월 정도 소요됩니다.
이 기간 동안 환자는이 기간 동안 환자는
임시 보철물을 사용하거나, 식사 시 해당 부위에
과도한 힘을 주지 않도록 주의하는 것이 중요합니다.
정기 검진을 통해 상태를 확인하며,
골 유착이 충분히 이루어진 후
최종 보철을 연결하게 됩니다.
4. 스캔바디 체결

골 유착이 충분히 이루어진 시점에,
최종 보철 연결을 위해 스캔바디를 체결하고
이를 바탕으로 인상채득 과정을 진행합니다.
스캔바디를 통해 임플란트 위치와
잇몸 상태를 정확히 기록할 수 있으며,
이를 기반으로 환자의 교합과 심미성을 고려한
맞춤형 최종 보철을 제작하게 됩니다.
5. 최종 결과

사진 기준 오른쪽 어금니는 신경치료 후
크라운까지 제작 및 장착이 완료되어,
심미성과 기능이 모두 개선되었습니다.
이에 따라 이전에 불편했던 저작 활동도
원활하게 이루어질 것으로 기대됩니다.
왼편 역시 임플란트가 안정적으로 식립되면서,
앞으로는 양쪽 어금니를 균등하게 활용할 수 있어
저작 기능이 더욱 효율적이고 편안하게 개선될 것입니다.
앞으로는 정기검진을 꾸준히 받으시면서,
임플란트와 자연치의 건강 상태를 꼼꼼히 확인하고,
필요한 경우 조기 관리를 진행하는 것이 중요합니다.
동암 치과 윤홍기였습니다. 감사합니다.


