주안역 치과 파절된 앞니 재신경치료 후 크라운으로 보존한 심미와 기능
안녕하세요, 주안역 치과 윤홍기 원장입니다.
치아 내부의 치수에는
혈관과 신경이 함께 있어
필요한 영양을 공급합니다.
하지만 신경(근관)치료를 진행하면
치수가 제거되므로, 내부로 들어가는
영양 공급이 줄어들게 됩니다.
그 결과 조직이 점차 건조해지고,
미세한 균열이 생기기 쉬워집니다.
내부 수분이 줄어들면 법랑질과
상아질의 유연성도 감소합니다.
자연치는 본래 충격을 흡수할 수 있으나,
내부가 건조해진다면 충격에 대한
저항력이 낮아져 금이 가거나
쉽게 깨질 수 있습니다.
오늘은 이와 관련하여
주안역 치과 에서 준비한
예시 자료를 통해 더 자세히
설명해 드리겠습니다.
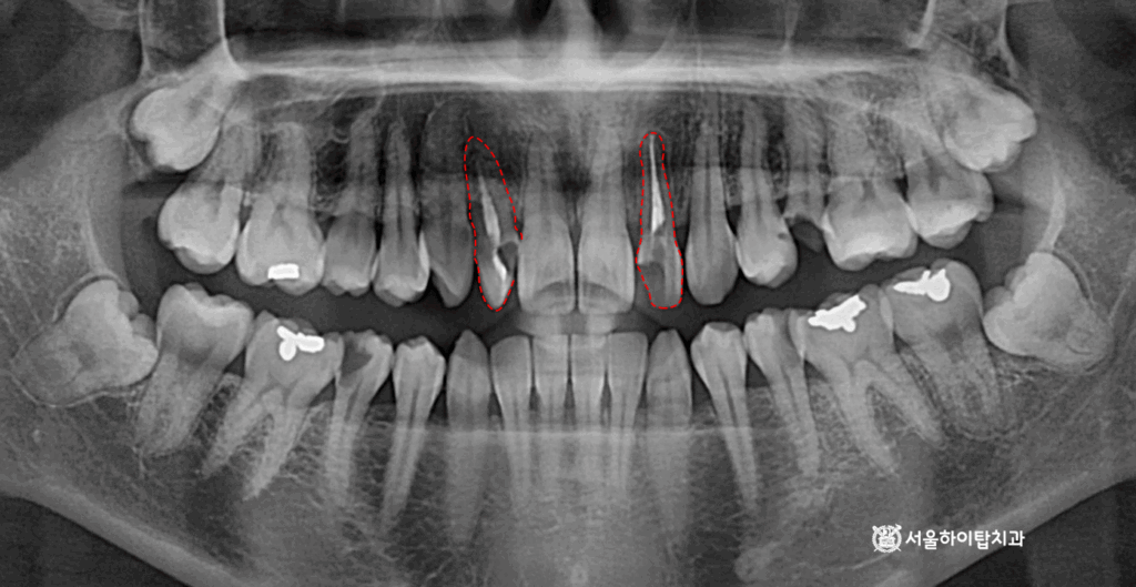
1. 초진

초진 파노라마 엑스레이입니다.
주안역 치과 에서 표시해 둔 부분을 보면,
신경치료를 받은 상태임을 알 수 있습니다.
또한 치아의 머리, 즉 치관 부분을 보면
구조가 작아진 형태를 관찰할 수 있는데,
이는 과거 보철 수복을 위해
형태를 다듬는 프렙(prep)
과정을 거쳤기 때문입니다.
다시 말해, 현재는
수복용 크라운이 없는 상태로,
치아 본래 구조가 이미 손상된
상태라는 것을 알 수 있습니다.

이 상태를 방치하면 제일 먼저
심미 문제가 발생합니다.
뿐만 아니라, 시간이 지남에 따라
다음과 같은 문제도 나타나게 됩니다.
1) 취약성 증가
영양 공급이 줄어든 상태이기 때문에,
점점 더 쉽게 파절될 수 있습니다.
2) 염증
이 사이 틈으로 세균이 침투하면
잇몸 염증이나 뿌리 감염으로
진행될 수 있습니다.
즉, 주안역 치과 에서 설명드린 것처럼,
취약해진 자연치는 심미 문제뿐 아니라
구조, 기능 손상과 감염 위험까지
동반할 수 있어 조기 치료가 필요합니다.


2. 계획 수립
진료 방향을 결정할 때는
자연치를 최대한 보존하는
방향을 먼저 고려해야 됩니다.
앞서 확인한 여러 문제를
종합적으로 살펴보면,
발치할 정도의 큰 문제는 없었으며,
남아있는 치질도 충분하기 때문에
‘재근관치료’를 통해 보존적인
치료 접근을 시도할 수 있습니다.
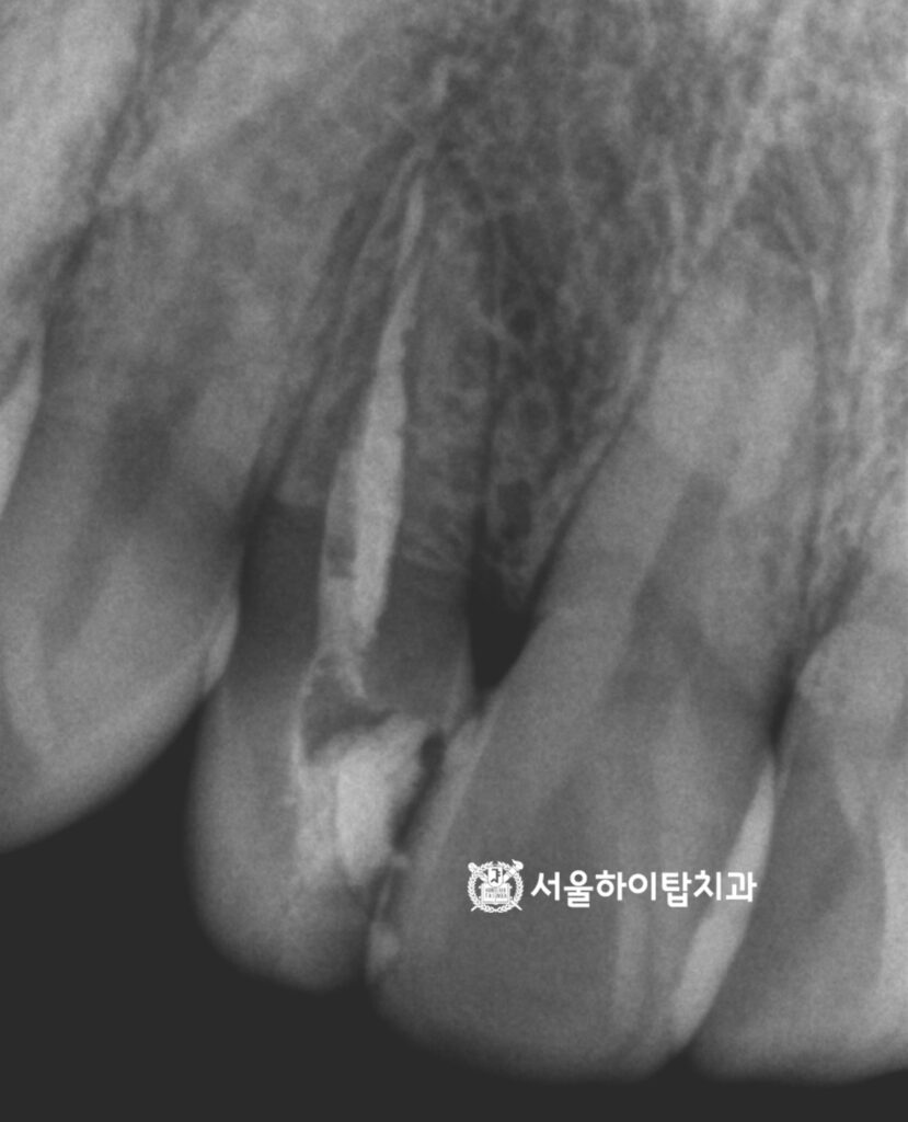
3. 재신경치료
먼저, 채워져 있던 충전재를 제거하여
내부를 깨끗하게 만들고,
정밀하게 세척, 소독합니다.


이후 근관의 형태에 맞게
가타퍼차(Gutta-percha)의
마스터 콘(Master cone)을 먼저 넣어
적합 여부를 확인합니다.
X-ray를 통해 이 마스터 콘이
뿌리 끝까지 도달했는지 확인하는데,
주안역 치과 에서 이는 이후
근관 전체를 빈틈 없이 밀봉하기 위한
기준이 된다고 설명해 드립니다.


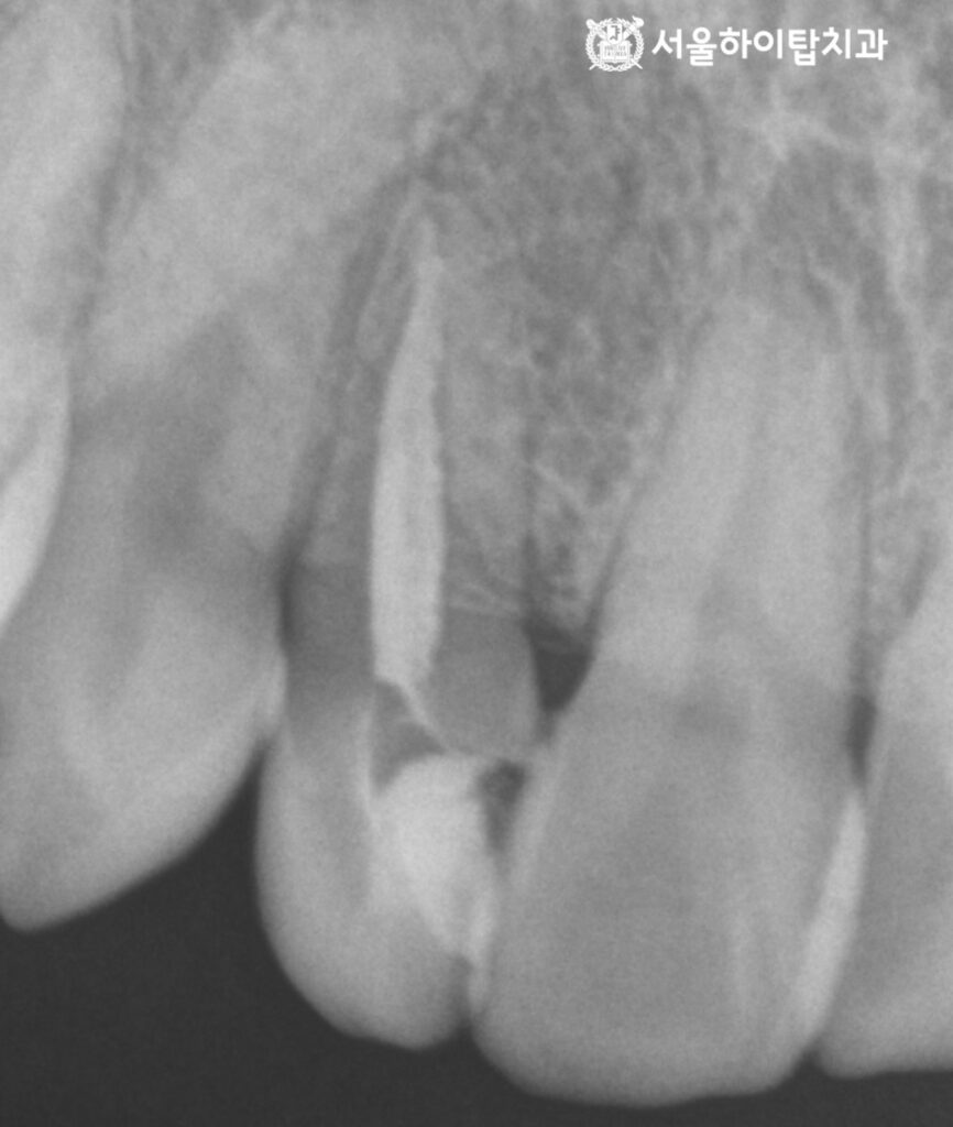
그다음, 마스터 콘을 기준으로 하여
가타퍼차를 가압하는 방식(가압근충)으로
근관 전체를 채워 밀폐합니다.
이 과정은 재료를 압축해
내부에 빈 공간이 생기지 않도록 막아
감염을 방지하는 중요한 단계입니다.
근관이 완전히 밀폐되면,
치관 부분에 남아 있는 빈 공간을
단단하게 채우는 코어(Core) 수복을
진행하게 됩니다.
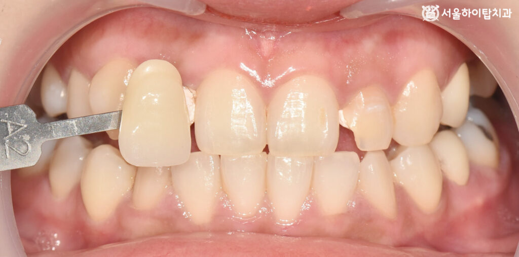
4. 쉐이드 테이킹(Shade taking)
마지막으로,
새로운 크라운으로 덮기 위해
훼손된 치아의 형태를 다듬는
prep 과정을 진행합니다.

형태가 정리되면,
쉐이드 테이킹(shade taking)을 통해
주변 치아와 어울리는 색을 선택합니다.
알맞은 색상이 선택되면
인상채득을 통해 맞춤형 보철을 제작하여
연결해 주면 모든 진료 과정은 종료됩니다.
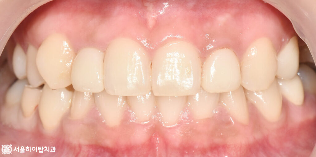
5. 최종 결과
주안역 치과 에서 최종 모습을
예시 자료를 통해 보여드리겠습니다.

최종적으로 크라운이 부착된 모습입니다.
보철은 지르코니아 크라운으로 제작되어,
주변 자연치들과 자연스럽게 어우러지며
앞니의 위치와 형태에 맞게 심미성이
한층 더 향상된 것을 확인할 수 있습니다.
앞으로는 정기검진을 통해 Crown과
구강 상태를 점검받는 것이 중요합니다.
3~6개월마다 정기검진을
받기 어려운 경우라도,
작은 이상 신호를 무시하지 말고
가까운 구강 의료기관에 내원하여
반드시 점검받는 것이 필요합니다.
이를 통해 문제가 악화되기 전에 예방하고,
구강 건강을 오랜 기간 유지할 수 있습니다.
주안역 치과 윤홍기였습니다. 감사합니다.


