백운역 치과 신경치료 후 앞니 치아가 파절되기 쉬운 이유가 무엇일까? 임플란트 수술 과정
안녕하세요 백운역 치과 의사 윤홍기 원장입니다.
신경치료(근관치료)를 받은 치아는 치아 내부의 신경과 혈관이 제거되고,
치아 조직 일부가 제거되기 때문에 본래 치아보다 구조적으로 약해집니다.
여기에 크라운이나 보철물로 수복한다고 하더라도,
남아 있는 치질이 충분하지 않거나 저작 시 힘이 집중되는 경우에는
치아가 쉽게 깨지거나 부러질 수 있습니다.
특히 전치부(앞니)는 저작력뿐 아니라 외부 충격에도 상대적으로 취약하여,
작은 충격이나 반복적인 힘에도 치관이 치근에서 분리되거나
치근 자체가 금이 가는 파절이 생길 수 있습니다.
오늘은 이와 관련하여 백운역 치과 에서 준비한 예시 자료를 통해 더 자세한 설명을 드리도록 하겠습니다.
신경치료 후 앞니 파절


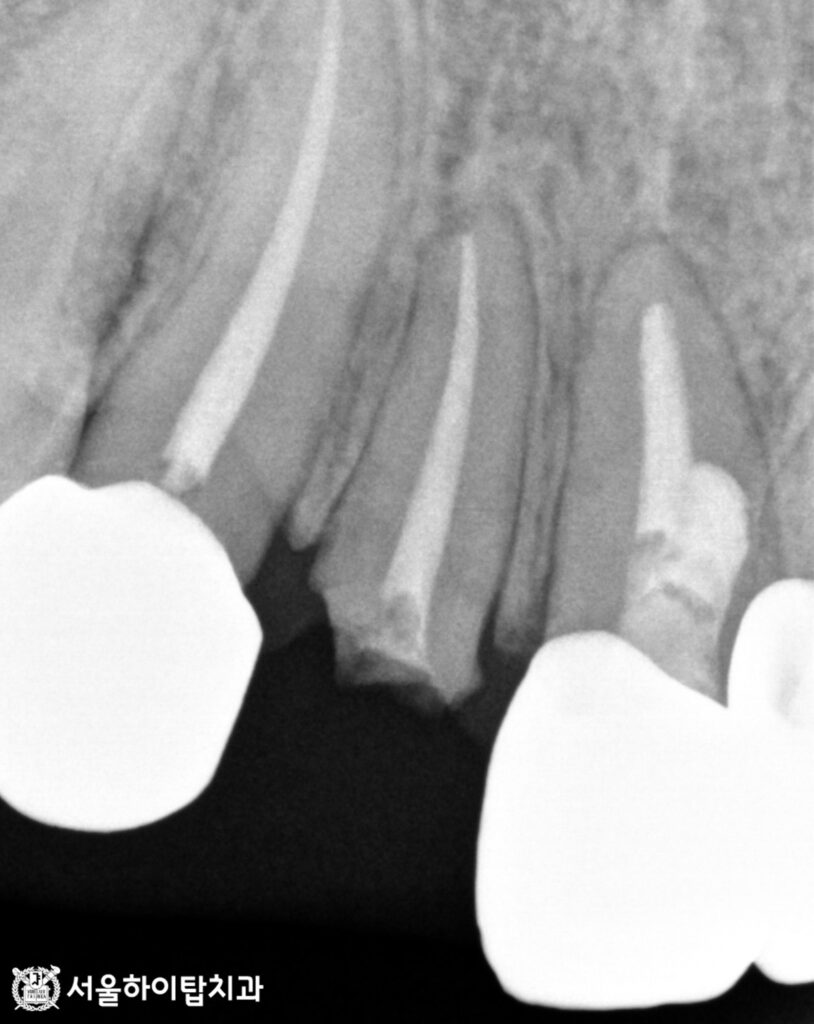
초진 구강 내 모습과 PA(치근단 방사선)사진을 살펴보겠습니다.
치관(치아 머리)이 통째로 파절된 모습을 볼 수 있습니다.
PA 사진에서 근관 내부가 전용 충전재인 가타퍼차로 채워져 있는 것을 확인할 수 있는데,
이를 통해 과거 신경치료를 받은 치아임을 알 수 있습니다.
즉, 신경치료 후 치아를 보호하기 위해 씌워졌던 크라운이 있었으나,
이번 파절로 인해 치관이 치근에서 완전히 분리된 상태임을 알 수 있습니다.
재신경치료를 고려해볼 수 있을까? – 계획 수립 단계
백운역 치과 에서 재신경치료를 진행하기 위해서는
다음과 같은 조건이 필요하다고 설명해 드립니다.
- 남아 있는 치질의 양과 치근 구조
- 치근의 파절 여부와 치근단 상태
- 치아의 장기적인 예후
현재 뿌리와 그 주변 조직 상태는 비교적 양호하지만,
남아 있는 치질이 거의 없고 치관이 완전히 파절된 상태입니다.
무엇보다 장기적인 안정성을 유지할 수 있는지가 관건인데,
남아 있는 치질이 충분하지 않은 상황에서는
재신경치료 후에도 크라운 수복이 안정적으로 유지되기 어려워,
장기적인 예후가 불확실할 수 있습니다.
따라서 현재와 같은 상황에서는,
발치 후 임플란트를 통해 심미뿐만 아니라 장기적인 안정성과 저작 기능을 회복해 주는 것이
가장 적절한 치료 방법이라 판단할 수 있습니다.
CT 기반 임플란트 가상 식립 시뮬레이션

먼저 임플란트 수술에 들어가기 전, 픽스처를 가상으로 식립해 볼 수 있습니다.
백운역 치과 에서는 이를 통해
치조골의 두께와 형태, 신경관 위치, 인접 치아와의 간격 등을 미리 확인할 수 있어,
수술 중 발생할 수 있는 위험을 최소화할 수 있다고 설명해 드립니다.
또한 최적의 위치와 각도를 계획함으로써,
수술 후 임플란트의 안정성과 장기적인 예후를 높일 수 있습니다.
현재 남아 있는 골량은 충분하지만, 치근만 발치해야 하는 상황이므로
버(Bur)를 사용하여 치근을 분할한 후 발치하고, 이어서 임플란트를 식립하게 됩니다.
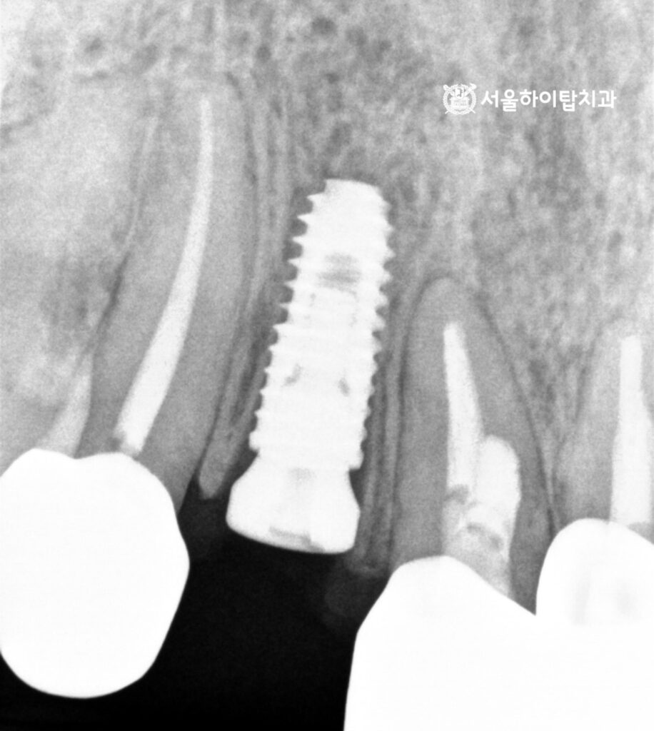
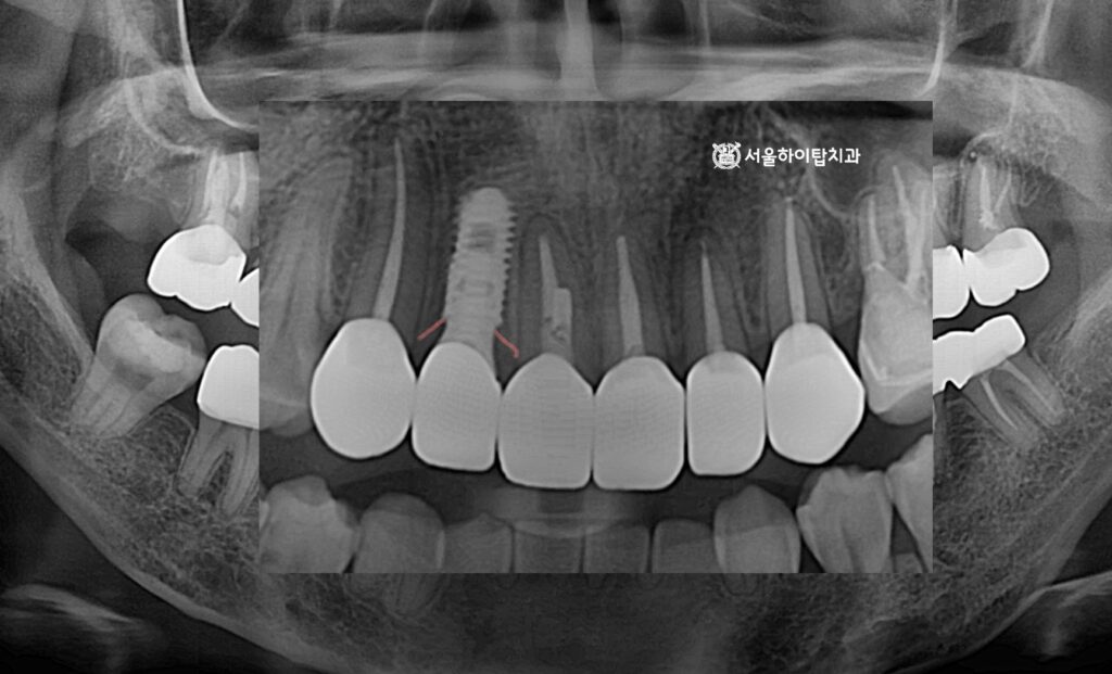
임플란트 수술 완료

위 엑스레이 사진을 살펴보면,
전치부 치아 특성상 치조골 폭이 다소 좁음에도 불구하고,
앞서 진행한 가상 시뮬레이션을 기반으로 안전하고 정확한 위치에
임플란트가 식립된 모습을 확인할 수 있습니다.

백운역 치과 에서 PA 사진으로 확인해도,
주변 인접 치아나 치주 조직에 손상 없이 정확하게 식립된 모습을 확인할 수 있습니다.
이제 임플란트와 주변 뼈가 단단히 결합하는 골유착 과정을 거치는 동안,
앞니는 심미적으로 매우 중요한 부위이기 때문에 임시 치아(플리퍼)를 제작하여 장착하게 됩니다.
이를 통해 치료 기간 동안에도 외관상 자연스러운 모습과 저작 기능을 유지할 수 있습니다.
스캔바디 체결 및 쉐이트 체크

골유착이 충분히 이루어진 뒤에는 최종 보철 제작을 위해 스캔을 진행하게 됩니다.
이를 위해 스캔바디를 임플란트에 체결하여,
구강 내 스캐너로 임플란트의 위치, 각도, 깊이를 정확히 디지털로 기록합니다.

백운역 치과 에서는 이 과정을 통해 임플란트와 보철물의 정확한 맞춤이 가능하며,
이후 쉐이드 체크와 디자인을 통해 자연스러운 색상과 형태를 구현할 수 있습니다.
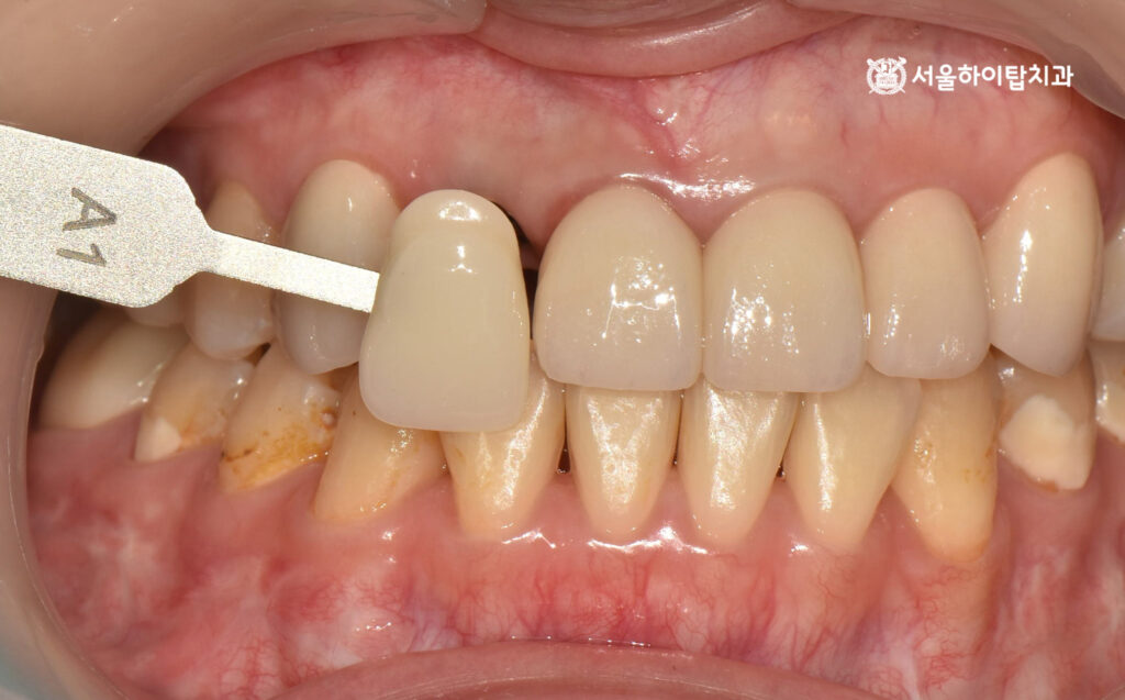
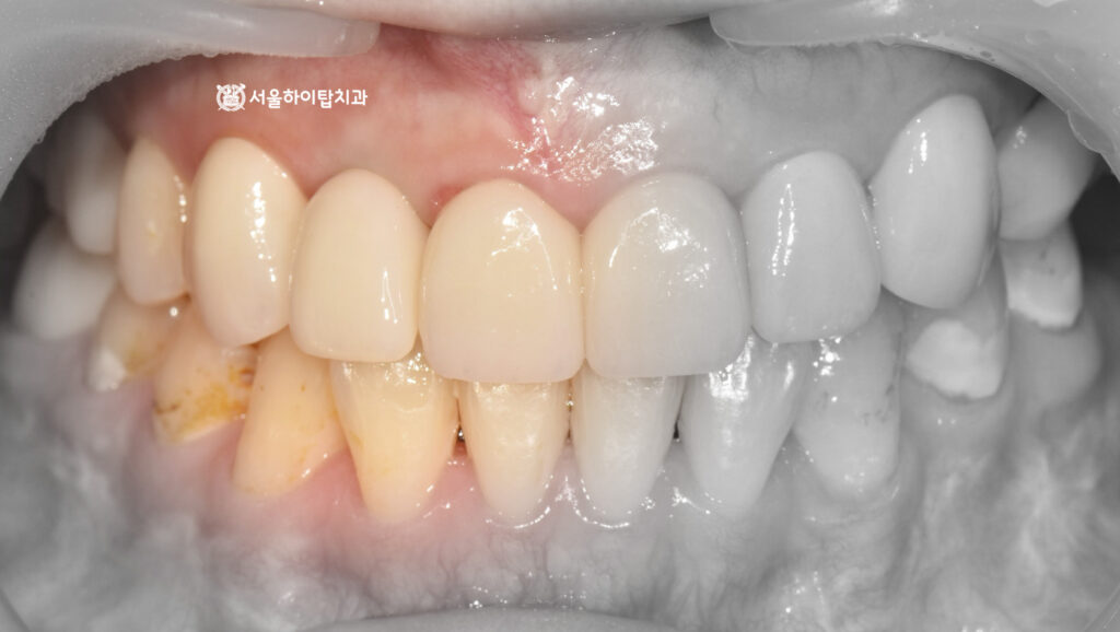
최종 보철 – 지르코니아 크라운 장착

앞서 진행한 쉐이드 체크를 통해 주변 자연치와 조화롭게 어울리는 색상을 선택되었으며,
이 데이터를 바탕으로 최종 지르코니아 크라운을 제작하여 장착한 모습입니다.

파노라마 엑스레이에서도, 픽스처가 골 속에 단단히 심겨져
안정적인 모습을 확인할 수 있으며,
주변 치아와도 조화로운 배열을 이루고 있음을 확인할 수 있습니다.
신경치료를 받은 치아는 앞서 말씀드린 것처럼 자연치보다 구조적으로 약해 쉽게 파절될 수 있습니다.
하지만 그렇다고 신경치료가 잘못된 치료라는 의미는 아닙니다.
오히려 치아를 살리고 기능을 유지하기 위한 필요하고 적절한 치료이며,
중요한 것은 치아를 꾸준히 관리하고 정기검진을 받는 것입니다.
정기적으로 검진을 받으면서 치아 상태를 확인하고,
초기 손상이나 마모가 발견될 경우 적절한 보수 치료를 진행하면,
신경치료를 받은 치아도 오랜 기간 건강하게 유지할 수 있습니다.
백운역 치과 의사 윤홍기였습니다. 감사합니다.


