간석오거리역 치과 치수까지 침범한 충치, 발치 후 임플란트 진행 과정 (정기검진과 조기 치료의 중요성)
안녕하세요, 간석오기리역 치과 윤홍기 원장입니다.
우리가 정기검진을 받는 이유는
깨끗한 구강 환경을 유지하기 위함입니다.
아울러, 아직 초기 단계에 국한된 충치나 염증을
조기에 발견하고 치료함으로써
추후 더 심각한 문제로 진행되는 것을 예방할 수 있습니다.
하지만 초기 단계에 머물러 있는 경우에는
뚜렷한 불편감이나 통증이 동반되지 않는 경우가 많습니다.
그렇다 보니 환자분들께서 치료의 필요성을 크게 느끼지못해
치료 시기를 미루는 상황이 생각보다 자주 발생합니다.
그래서 오늘 간석오거리역 치과 에서는
- 정기검진과 조기 치료의 중요성
- 임플란트 수술 진행 과정
을 순서대로 살펴보며 설명드리겠습니다.
초진 – 인접면 충치(우식)
아래사진은 의학 정보 전달을 목적으로 준비한 예시 임상 사진입니다.

처음 내원 당시 촬영된 파노라마 엑스레이를 보면
해당 병변은 치아 인접면 부위에서 시작된 초기에서 중기 단계의 우식으로 보입니다.
이 단계에서는 아직 치수까지 직접적인 침범이 이루어지지 않은 상태로,
적절한 시기에 치료가 진행된다면 신경치료 없이
보존적 처치를 통해 충분히 치아를 유지할 수 있습니다.

해상도가 높은 PA(Periapical) 사진상에서는
우식이 치수와 비교적 근접해 있는 양상이 관찰되지만,
간석오거리역 치과 에서는 명확한 치근단 병소나
치수 괴사를 시사하는 소견은 보이지 않습니다.
따라서 당시에는 보존 치료를
우선적으로 고려할 수 있는 상황이었습니다.
치수까지 진행된 우식

대략 2년 정도가 흐른 뒤 촬영된 PA 사진을 보면
이미 치수를 침범하여 병소의 크기가 상당히
넓어진 모습을 확인할 수 있습니다.

여기에 더해, 간석오거리역 치과 에서는
치수가 괴사하였을 때 나타나는 치아 변색까지 뚜렷하게 확인할 수 있습니다.
충치나 치주염과 같은 구강 질환은
대부분 초기 단계에서는 통증이 거의 없거나 매우 경미합니다.
특히 인접면 충치처럼 눈으로 확인이 어려운 부위는
자각하기 힘든 상태로 서서히 진행되는 경우가 많습니다.
정기검진을 통해 이러한 변화를 조기에 발견하면
간단한 레진 수복이나 스케일링 같은
비교적 보존적인 치료로 충분히 관리가 가능합니다.
하지만 치료 시기를 놓치게 되면
신경치료, 발치, 임플란트와 같은
복잡하고 비용과 시간이 많이 소요되는 치료로 이어질 수 있습니다.
결국 정기검진의 목적은 단순히 치석을 제거하는 것이 아니라,
치아를 오래 보존하기 위한 예방 중심의 관리에 있습니다.
조기 진단과 조기 치료는
치아의 수명을 연장하고,
치료 부담을 줄이는 가장 확실한 방법입니다.
임플란트 가상 식립 시뮬레이션 진행
간석오거리역 치과 에서는
치수 감염이 확인된 상황으로,
잔존 치질의 양과 파절 범위를 고려했을 때
보존적 치료만으로는 장기적인 예후를
기대하기 어려운 상태로 판단되어
발치 후 임플란트를 계획할 수 있습니다.
이 과정에서 CBCT 데이터를 기반으로 한 가상 시뮬레이션을 통해
식립 각도와 깊이, 보철적 중심 위치를 사전에 설계할 수 있습니다.

현재 하치조신경과의 거리는 괜찮습니다.

또한 잔존골의 양과 bone level 도 일정 수준 이상 나와주기 때문에
추가적인 골 이식 없이 임플란트를 식립할 수 있는 소견입니다.
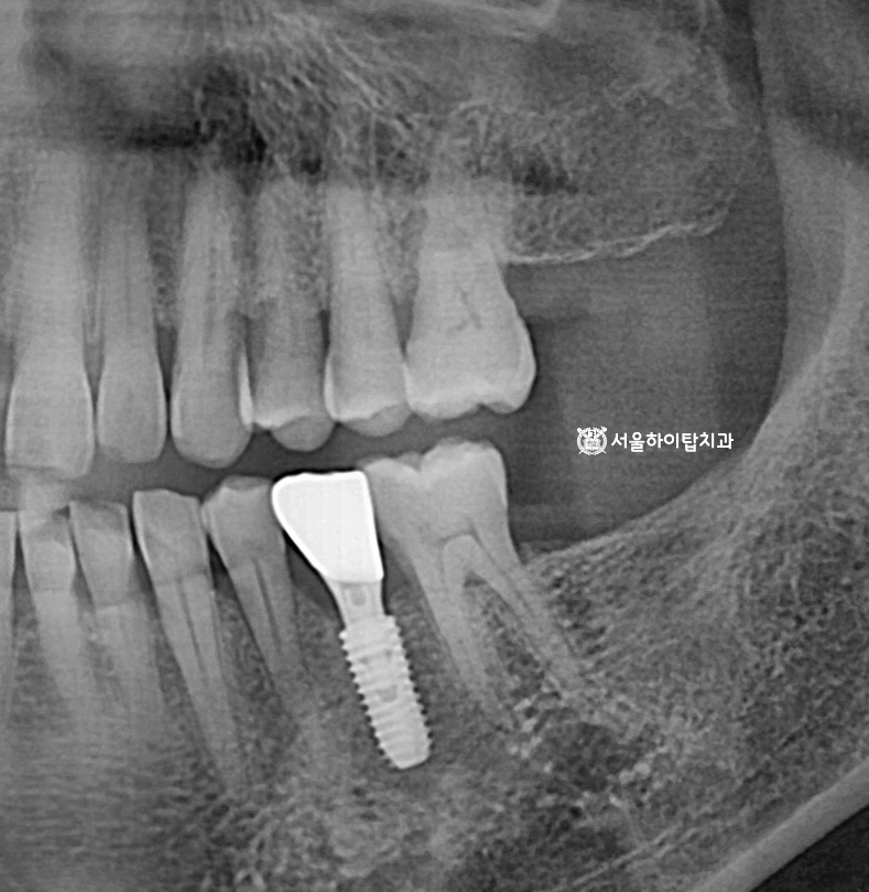
임플란트 식립 진행 과정


앞선 CT 기반 가상 시뮬레이션을 통해 계획한 대로
임플란트가 해부학적으로 안정적인 위치에 식립된 모습입니다.
식립 후 약 한 달 뒤에는 경과 관찰(Follow-up)을 진행하여
픽스처의 초기 골유착 상태와 주변 연조직 치유 양상을 확인합니다.
간석오거리역 치과 에서는 이 시기에는 동요도 여부, 통증 유무,
방사선 사진을 통한 변연골 변화 등을 종합적으로 평가하게 된다고 말씀드립니다.
스캔바디 체결

이후 안정적으로 유지되고 있는 상태가 확인되면,
보철 단계로 넘어가게됩니다.
픽스처 상부에 스캔바디를 체결하고
구강 스캐너를 이용한 디지털 인상 채득을 진행합니다.
스캔바디는 임플란트의 3차원적 위치와 각도를
정확히 디지털 데이터로 변환해주는 역할을 하며,
이를 통해 보다 정밀한 맞춤형 보철물 제작이 가능합니다.
최종 결과 – 지르코니아 크라운 장착

최종 보철을 장착하기 전, 맞춤형 지대주를 체결하여
개인 구강에 맞는 보철을 장착해 주면 모든 과정은 종료됩니다.
최종적으로 지르코니아 크라운으로 장착되어
심미성과 기능이 동시에 회복되었습니다.
오늘, 준비하여 보여드린 의학 정보 전달용 임상사례.
잘 보셨나요?
임플란트를 마친 뒤에도 그 주변으로 염증,
즉 임플란트 주위염이 생길 수 있기 때문에
정기적인 검진은 필수입니다.
많은 도움이 되셨길 바라며,
3개월 내지 6개월에 한 번씩은
꼭 가까운 병원에 내원하셔서
정기검진을 받으시길 바랍니다.
간석오거리역 치과 윤홍기 원장이었습니다. 감사합니다.


